结节病
結節病(英語:)又稱類肉瘤病[12],是一種發炎細胞不正常聚集形成腫塊(肉芽腫)的疾病[2]。這種疾病通常好發於肺部、皮膚或是淋巴結[2]。較不常見的部位為眼、肝、心臟以及腦部[2],但此病可能進犯任何器官[2]。病徵和症狀依進犯的器官而定[2]。通常沒有症狀,或是只有輕微症狀[2]。當進犯肺部,患者可能會出現喘鳴、咳嗽、呼吸困難或胸痛[3]。部分患者會發生洛夫格倫氏症候群,合併發燒、淋巴腫大、關節炎和名為結節性紅斑的皮疹[2]。
| 結節病 Sarcoidosis | |
|---|---|
| 同义词 | Sarcoïdosis、sarcoid、Besnier-Boeck disease(貝-伯病)、Besnier-Boeck-Schaumann disease(貝-伯-肖三氏病)[1] |
![]() | |
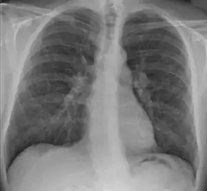
| 胸部 X 片顯示結節病的典型結節,主要位於肺門部位。 | |
| 症状 | 依侵犯的器官而定[2] 肺:喘鳴、咳、呼吸困難、胸痛[3] 皮膚:腫塊、潰瘍、皮膚變色[3] 兒童:骨重減輕、骨頭痛、疲倦感[3] |
| 常見始發於 | 20–50 歲女性[4] |
| 病程 | 數年到長期慢性[2][5] |
| 类型 | 延遲性過敏反應、疾病 |
| 肇因 | 不明[2] |
| 风险因子 | 家族史[4] |
| 診斷方法 | 依症狀和活體組織切片[6] |
| 相似疾病或共病 | 結核病、淋巴瘤、傳染性單核白血球增多症、肺部嗜酸性球增多症[7] |
| 治療 | 布洛芬、強的松、氨甲蝶呤[8][9] |
| 预后 | 死亡率 1–7%[5] |
| 盛行率 | 190萬人患有間質性肺病(2015)[10] |
| 死亡數 | 122,000死於間質性肺病(2015)[11] |
| 分类和外部资源 | |
| 醫學專科 | 風濕病學 |
| ICD-11 | 4B20 |
| ICD-9-CM | 135 |
| OMIM | 181000 |
| DiseasesDB | 11797 |
| MedlinePlus | 000076 |
| eMedicine | 301914 |
| Orphanet | 797 |
英語 Sarc-oid-osis,由字根 sarc「肉」的意思,加上 -oid「像…似的」或「有質量的」,與後綴 -osis,「疾病或非正常情況」組成;英語醫學界常簡稱為 “sarcoid”。
結節病的病因尚不清楚[2]。部分看法指出,可能是有些人遺傳了易感性又受到觸發因子,如感染或化學物質刺激後,引起了免疫反應而導致[13][14]。有家族病史者的患病風險較高[4]。診斷時,部分需根據症狀和體徵,輔以活體組織切片證實[6]。若合併有以下情況,則確診的可能性會提高;雙側肺門發現淋巴腫大、高血鈣但副甲狀腺素濃度正常,或是血管緊張素Ⅰ轉化酶的血中濃度上升[6]。此外,診斷時必須先排除其他類似症狀的疾病(如結核病)[6]。
結節病可能在幾年內不經任何治療自癒[2][5]。但是,有些人可能進展成長期或嚴重疾病[5]。使用消炎藥,如布洛芬,可以改善某些症狀[8]。在此病產生嚴重健康問題的患者,應使用類固醇治療,如 強的松[9]。為減少類固醇的用量及副作用,有時會併用其他藥物,如氨甲蝶呤、氯喹或硫唑嘌呤等藥物[9]。疾病的死亡風險為 1-7 %[5]。治癒者再復發的機率低於 5%[2]。
2015 年,全球有 190 萬人患有肺部結節病和間質性肺病,其中有 12.2 萬人死亡[10][11]。廣見於斯堪的納維亞人族群中,但此症的患者遍佈世界各地[15]。在美國,相較於白人,黑人的患病風險相對較高[15]。此症的患病年齡層在 20 至 50 歲之間[4]。患者之中,女性多於男性[4]。1877 年,英國醫生喬納森·哈欽森首次留下了此症的記敘,稱「結節病是一種不會痛的皮膚病」[16]。
症狀和體徵

結節病,作為一種全身性炎症性疾病,可影響任何器官。常見的症狀較模糊,例如嗜睡、乏力、消瘦、疼痛、關節炎、眼部乾燥、膝蓋腫脹、視力模糊、呼吸困難、乾咳或皮膚損傷。結節病和癌症的症狀可能會比較類似以至於區別困難。[18]皮膚的症狀各不相同,包括皮疹和結節性紅斑的小結(小突起),或者凍瘡樣狼瘡,它們經常無特殊症狀。
當患者存在結節性紅斑的結節,兩側肺門淋巴結腫大以及關節痛時,這種疾病被稱為洛夫格倫綜合征;它的預後較好。
腎、肝(包括門靜脈高壓)、心臟,[19]或腦組織的受累可能會導致進一步的症狀和功能的改變。
肺
肺部病變是迄今為止最常見的結節病病理改變。約90%的患者在他們的患病過程中會出現胸部X線異常。總體而言,約50%患者出現長期的肺部異常,5%至15%有肺實質進行性纖維化。肺結節病主要是肺間質的炎性改變,涉及到肺泡、小支氣管和小血管。通常在急性和亞急性的情況下體檢會聽到肺部的幹性啰音。[20]
肝
盡管有60〜90%的患者肝活檢顯示肝臟發生病理改變,但肝功能的異常通常還沒有臨床應用價值。大約20%至30%的患者發生肝腫大和/或肝功能生化檢測異常。通常情況下,這些變化反映了膽汁的淤積,包括鹼性磷酸酶水平升高,膽紅素和轉氨酶輕度升高。一般而言發生黃疸是罕見的。[20]
皮膚
25%的結節病患者累及到皮膚的病變。最常見的病變是結節性紅斑、斑塊、斑丘疹爆發、皮下結節、和狼瘡性凍瘡。一般而言沒有治療的必要,因為病變通常在兩到四個星期內會自發地好轉。盡管它可能會造成患者被毀容,但皮膚結節病很少引起大的問題。[20]
心臟
雖然有20%〜30%的全身結節病患者會累及到心臟,但只有約5%的患者有症狀。[21]心臟結節病病變的範圍可以從無症狀的傳導異常到致命性的室性性心律失常。[22]心肌結節病是一種罕見的導致心源性猝死的原因。[23][24]
眼
眼部的病變形式包括葡萄膜炎、葡萄膜腮腺炎和視網膜炎症,這可能會導致視力減退或失明。
前葡萄膜炎、耳下腺炎、第七顱神經麻痹與發熱的組合症狀,被稱為眼葡萄膜腮腺發熱。(D86.8 )如今鞏膜結節已經能夠作為結節病被觀察到了。[25]
血液
臨床患者血常規檢測異常很常見,但往往不具有診斷價值。4-20%的結節病患者會繼發貧血。多達40%的患者會發生白細胞減少症(由於外周血淋巴細胞循環受阻[26]或淋巴細胞數目減少),但很少有嚴重情況。在脾腫大的情況下,可能反映出有骨髓的受累,但最常見的機制是血液中的T-細胞重新分配的現象。[27]其他非特異性的改變,包括單核細胞增多症,多數發生在結節病患者中,[28]<10%的患者中可見肝臟所產生的酶的量增高或堿性磷酸酶的增高、高鈣尿症和高鈣血症。[29]
淋巴結
在結節病患者中,全身淋巴結腫大是很常見的。75%至90%的患者胸腔內的結節增生:常常累及到肺門淋巴結,還普遍累及到氣管旁淋巴結。周圍淋巴結腫大是很常見的,特別是累及到子宮旁淋巴結(最常見的是宮頸頭部和頸部所表現的疾病)、[30]腋窩淋巴結、肱骨內上髁的淋巴結、腹股溝淋巴結。觸診時不會引起疼痛。[20]
神經系統
可以累及到神經系統的所有部份。影響大腦或神經組織的結節病被稱為神經類結節病。約5%的患者會發生神經類病變。顱神經是主要被影響的對象,顱神經周圍性面神經麻痹,通常為雙側性麻痹,是最常見的神經系統結節病的表現。[31]它發生迅速,持續短暫。其他常見的神經系統表現包括視神經功能障礙、視乳頭水腫、味覺功能減退、聽力異常、下丘腦和垂體異常、慢性腦膜炎和周圍神經病變。[20]骨髓內結節病是罕見的,不到1%的情況下會涉及。通常情況下,肉芽腫對基礎腦膜的牽連,會影響腦神經功能。髓內神經類結節病可能是脊髓病變的最初臨床表現。[32]
頭皮
結節病表現為彌漫性或斑片狀的頭皮脫發。[33]:762
病因
結節病的確切病因尚不清楚。目前比較流行的病因假設是:結節病是通過遺傳所產生具有易感特性的個體,由於暴露在環境因素、職業因素或病原體因素所引起的細胞免疫功能和體液免疫功能參與的免疫反應。[34]
遺傳學
通過對遺傳易感性的調查獲取了許多可能導致疾病的候選基因,但只有少數人通過進一步的調查得到了充份的證實,大多數並沒有被稱為可靠的致病基因。目前,最令人感興趣的候選基因是BTNL2,少數幾個HLA-DR(HLA:英語human leukocyte antigen的簡稱)高危基因也正在研究中。[35]在持久性的結節病中,單倍型HLAHLA-B7-DR15或許是共同作用導致疾病的發生亦或許是與這兩個基因座之間的其中一個有關。在非持久性的結節病中,有很強的遺傳因素參與HLA DR3-DQ2的聯合。[36]
同父母的兄弟姐妹當中只有中等程度的疾病的風險(危險比為5-6),表明遺傳易感性只是扮演結節病的小角色。
傳染性病原體
一些傳染性病原體會導致人們患明顯與結節病,但沒有已知的機構或團體證明其有直接的致病作用。
痤瘡丙酸桿菌可以在約70%的患者的支氣管肺泡灌洗液中被發現,且與疾病的活動相關聯:然而,23%的患者中該病原體已經被抑制。[37][38]
最近的一項薈萃分析中,對結節病進行分析,發現26.4%的情況下存在著分枝桿菌的作用,但該薈萃分析也也有人對此提出異見,這樣的結果還需要進一步確認。[39][40]
維生素D調節障礙
結節病常會引起腎外維生素D的生成量增加。[41]肉芽腫內部的巨噬細胞把維生素D轉換為活性形式,導致激素濃度升高與1,25-二羥維生素D增加的維生素Ð過多症,其中可能包括疲倦、精力不足、煩躁不安、口腔出現金屬味、記憶力臨時減退或認知障礙等症狀,但生理的代償反應(例如:減少甲狀旁腺激素濃度)可以使得患者不至於發展成高鈣血症。但是如果在懷孕期間,雌激素和催乳素濃度增高可能會加劇這種情況,導致高尿鈣症和/或代償性甲狀旁腺功能減退。[42]高濃度的維生素D也會導致免疫系統功能障礙。
高催乳素血症
催乳素的頻繁釋放會導致結節病的發生,約32%的患者有高催乳素血症。[43]這往往會導致婦女的閉經、溢乳、非產褥期乳腺炎。
催乳素還對免疫系統具有廣泛的影響,增加催乳激素濃度非正常水平可能會使許多自體免疫性疾病的症狀加劇,在某些情況下已證明降催乳素藥物治療對結節病有效。[44]
然而,這與結節病的發生並沒有直接的聯系,而且相比其他的一些自體免疫性疾病,結節病的性別比例差別並不十分明顯。在懷孕期間,催乳素和雌激素對結節病患者來講,在一定程度上相互抵消它們的影響,而且有輕微的趨勢表明能夠使肺結節病的症狀得到改善,而系統性紅斑狼瘡,葡萄膜炎和關節痛可能會略有惡化。[42]紅斑狼瘡,葡萄膜炎和關節痛已知在某些情況下能夠進行與之有關的催乳素水平增加和溴麥角環肽治療,但到目前為止,還沒有被證實其與結節病之間有何種聯系。
增加催乳素濃度與患結節病的聯系目前暫不清楚。催乳素已被證明在某些自體免疫性疾病的含量增加到足以影響由下丘腦的多巴胺能系統的反饋調節以促使T-淋巴細胞的產生。[45]
垂體外催乳素被認為是類似炎症細胞因子的一類活動的細胞因子。催乳素抗體被認為是造成高催乳素血症的原因,認為其在自體免疫性疾病中發揮著重要作用,在結節病患者和高發病率的內分泌自體免疫性疾病中可以觀察到催乳素抗體。[46]它也可能是腎臟疾病或類固醇治療所造成的結果。神經系統結節病偶爾會引起垂體功能低下,但尚未有引起高泌乳素血症的病例的報導。
甲狀腺疾病
在女性中,有著大量甲狀腺疾病和結節病共同發生的報告。報告雖然缺少男性患者的標識,但仍然可以看到男性患者也有類似的情況。女性患者有甲狀腺功能減退、甲狀腺功能亢進和甲狀腺自體免疫性疾病的風險性高,因此自體免疫性疾病出現在這一人群中,甲狀腺疾病的發生機制顯得尤為重要。 但另一方面來講,甲狀腺肉芽腫是很少見的。[47]
自體免疫性
有關自體免疫性疾病經常在結節病患者身上被觀察到。這種關系的確切機制暫時還不清楚,但一些研究證據表明,這是一個Th1淋巴細胞發生病變的結果。[47]
乳糜瀉往往伴隨著酸中毒, 是一種與某種蛋白質鏈的條件性慢性反應,通常稱這種蛋白為谷蛋白,因為往往在一些谷物中發現。該反應會導致小腸絨毛的破壞,從而導吸收性營養不良。
其他
雖然有爭議,某些人從九一一襲擊事件後倒塌的世界貿易中心吸入大量灰塵而得病。[50](參看英文版維基百科條目從九一一襲擊事件後所產生的對健康的影響(页面存档备份,存于)以獲得更多信息。)
芝加哥喜劇演員Bernie Mac患有結節病所並發的肺炎導致死亡,而他的免疫系統遭受破壞。[51]Reggie White,知名的前任美國足球聯賽的球員,也被認為結節病在他的死亡中產生了重要作用。[52]
病理生理學
肉芽腫性炎症的特點是由單核細胞、巨噬細胞和活化的T-淋巴細胞參與,與增生的關鍵性炎症介質、IFN-α、IFN-γ與白細胞介素12、Th1-分化的細胞反應(輔助性T淋巴細胞反應)有關。結節病有著自相矛盾炎症過程的影響:其特征在於能激活巨噬細胞和T輔助細胞(CD4+),導致炎症反應加速,但免疫反應的抗原的具有反作用,如結核菌素被抑制。這種矛盾性作用不僅使反應活性增高而且同時也降低最後造成了一種無反應性(anergy)狀態。無反應性也可能使感染和得癌症的風險增加。調節性T-淋巴細胞中的外周性結節病中肉芽腫的出現抑制了IL-2的分泌,有人猜想其通過阻止抗原特異性記憶反應所導致的無反應性。[53]
肖曼小體中可以看到,在結節病中,鈣和蛋白質的混合物成為朗漢斯巨細胞肉芽腫內部的一部分。
雖然TNF-α被廣泛認為是對肉芽腫的形成發揮了重要作用,結節病仍可以被TNF-α受體拮抗劑依那西普的治療所誘發。[54][55]
淋巴結結節病
星狀小體結節病
診斷
有關的特征性病變可以作為結節病的診斷依據。出現肺部症狀的時候可以做包括胸部X線、胸部CT掃描、PET掃描、CT引導下穿刺活檢、縱隔鏡檢查、開胸肺活檢、支氣管鏡活檢、支氣管內超聲和超聲波內視鏡活檢、縱隔淋巴結結節病節點(EBUS FNA)等一些檢查來確診。淋巴結的活檢組織都流式細胞儀檢測,可以用來做癌症和特殊染色(抗酸菌染色和果莫裏(Gömöri)六亞甲基四胺銀染色),以排除微生物和真菌所造成的病變。血管緊張素Ⅰ轉化酶的血藥濃可以用來診斷和監測度結節病。[56]
鑒別診斷包括轉移性疾病、淋巴瘤、膿毒性栓子、類風濕結節、韋格納肉芽腫病、水痘病毒感染、非典型感染等,如結核分枝桿菌覆雜、巨細胞病毒和隱球菌。[57]
結節病易與最常見的腫瘤性疾病混淆,如淋巴瘤;或與單核細胞肉芽腫性炎症過程混淆,如分枝桿菌和真菌疾病。[20]
由於結節病的表現多種多樣,醫院就診時可能涉及到許多器官的多種檢查以確診該疾病,所以這裏只做個簡單的介紹。
許多情況下,結節病會造成肺部的病變,包括肺容量的減少,順應性(肺泡伸展的能力)的下降。因此,異常的胸部X線表現,往往是結節病的首要發現。人們往往通過胸部X線來做出初步診斷或者評估肺部病變的嚴重程度。
這種疾病通常能夠使肺部的空氣吸入受到阻滯,但會產生高於正常值的呼氣流量比。肺活量(充分吸氣後充分呼氣的氣體量)被降低,並且大部分空氣可以在第一秒後被呼出。意思是指FEV1/FVC比值比正常值高,大約在80%至90%之間。肺部的阻滯性病變可以導致肺部氣體容量的減少,當呼氣時,可能會發生呼吸道受壓後出現淋巴結腫大或由於內部炎症或結節使氣體流通受到阻滯。
中華人民共和國的醫學資料中將胸部X線的改變分為五期,以Ⅰ期和Ⅱ期較為常見:[58]
- 0 期:肺部X線檢查陰性,肺部清晰無明顯的病變。
- Ⅰ期:兩側肺門和/或縱隔淋巴結腫大,右主支氣管旁淋巴結常常伴有腫大,而肺內無明顯異常。
- Ⅱ期:肺門淋巴結的腫大,伴肺浸潤影。
- Ⅲ期:可見肺部浸潤影,並無肺門淋巴結腫大。
- Ⅳ期:肺內發生纖維化、肺大皰和肺囊腫等改變。
以上分類僅僅是相對而言的,並不能說明一定會有0期-Ⅳ期的病變,可以是跳躍式發展。CT掃描(尤其是HRCT)能夠更準確地估計結節病的類型、肺間質的病變程度與淋巴結的腫大情況。[58]
結節病經常還要做其他檢查,比如心電圖,以評估其他器官是否受累;與眼部檢查,通常由眼科醫生來完成;還有肝功能檢查、腎功能檢查、血清鈣、24小時尿鈣。一般而言血液檢查無特異性變化,偶見血沈加快等;而在活動期可有淋巴細胞中度減少、血鈣增高等。[58]
在高加索人種中,肺門淋巴結腫大和結節性紅斑結節病是最常見的初期症狀。在這些人群中,腓腸肌肌肉活檢是一個確診是否患病的有效方法。蘭卡斯特(noncaseating)上皮樣肉芽腫在腓腸肌標本中是確診結節病的關鍵,其他結核和真菌疾病呈現這種肌肉組織學檢查結果是極為罕見的。[59]
在女性患者中,結節病使甲狀腺功能顯著減退,或造成甲亢等甲狀腺疾病,因此建議密切監測甲狀腺功能。[60]
分類
結節病可分為以下類型:[33]:708-11
- 環狀結節病
- 紅皮病性結節病
- 魚鱗病樣結節病
- 色素減退性結節病
- 洛夫格倫綜合征
- 凍瘡樣狼瘡
- morpheaform結節病
- 黏膜結節病
- 神經類結節病
- 丘疹性結節病
- 腎結節病(肉芽腫性腎炎)
- 瘢痕結節病
- 皮下結節病
- 系統性結節病
- 潰瘍性結節病
治療
30%至70%的患者不需要進行治療便可自行緩解。[61]對於有肺部症狀的患者所造成的呼吸功能障礙,除非是毀滅性損害,都可以經過兩至三個月的治療緩解,如果炎症不能夠自行消退,再進行進一步治療。[20]糖皮質激素治療,例如潑尼松龍,已經成為治療標準多年了。在一些患者中,這種治療方法可以使疾病的症狀緩解或好轉,但仍有一些病人對這種治療方法無效或者不能耐受其副作用反應。對於僅僅發生輕微病變的患者來講,糖皮質激素的使用是有爭議的,因為在許多情況下,這種疾病能夠自行得到緩解。[62]此外,糖皮質激素有許多公認的與劑量和作用時間相關的副作用反應,因此其使用一般僅限於嚴重的、漸進的、或危及器官的疾病。皮質激素或其他免疫抑制劑的作用機制尚不明了。
對於症狀嚴重的患者可以考慮使用其他的類固醇治療,如甲氨喋定、硫唑嘌呤等。在極少數情況下,也使用環磷酰胺。 肉芽腫是由免疫系統細胞所引起的,尤其是T細胞的聚集,於是出現了一些成功使用免疫抑制劑治療的案例,如在結節病早期使用白細胞介素-2抑制劑或抗腫瘤壞死因子-α治療。 不幸的是,這些治療方法並不十分可靠,並且有著顯著的副作用,如使潛伏性結核重新激活的風險增加。 抗腫瘤壞死因子-α與依那西普治療類風濕關節炎已被發現可以引起結節病的發生。[54]
由於結節病可累及多個器官系統, 對於發生結節病的患者,應經常進行包括心電圖、眼部、肝功能檢查、血清鈣、24小時尿鈣的檢查。[60]
預後

本病可自行緩解或轉為慢性疾病、反覆發作和經治療後緩解。有報導稱,在5年隨訪的病例中,34%的患者完全康复,30%的患者改善,20%基本不變,8%病情惡化,另有8%的患者因發生肺的廣泛纖維化等原因而導致死亡。[58]也有報導稱,大約有一半的患者能夠在12-36個月內或者最多五年時間,在完全沒有治療或者經過治療的情況下治愈。[61]當心臟受累時,預後較差。[63]結節病的患者患癌症的風險顯著增加,尤其是肺癌、惡性淋巴瘤[64]和一些影響其他器官的結節病的其它類型癌症。[65]在結節病-淋巴瘤綜合征中,結節病常導致淋巴組織增生疾病,如非霍奇金淋巴瘤。[66]原因可以歸納於結節病的發病過程中所發生的潛在免疫系統異常。[67]結節病也可以繼發於癌症[68]或同時與癌症發生。[69][70]報道稱毛細胞白血病、[71]急性骨髓性白血病[72]與急性粒細胞性白血病 [73]都與結節病有關。
流行病學
結節病最常見的患者是青年人,男女比例相差不大,雖然有研究報道稱女性患者較多。大部份患者患病年齡低於40歲,20至29歲年齡組的人群發病率最高,50歲以上女性中可見第二個患病高峰期。[61][63]
世界各地的平均發病率:在每100,000男性中,約有16.5個患結節病,同樣在每100,000女性中,約有19個女性患結節病。本病發病率最高的國家是北歐的瑞典和冰島,每100,000人中約60人發病。在英國,每100,000人中約16人發病。[74]在美國,結節病發病率非洲裔人比白人高,年報告發病率在每100,000人,分別為35.5和10.9。[75]1971年的Edmonstone報告稱黃種人中發病率約為16.8/10萬人。在南美、西班牙、印度,加拿大和菲律賓,結節病是常見的一種疾病。乳糜瀉經常伴隨著結節病而發生。其與結節病的發生已被確定為有關聯。[76]
在世界各地,結節病有著不同的發病率,在世界的某些地區暫時還沒有該病的病例數據,而且有些地方其他肉芽腫性疾病發病率超過結節病,對於結節病的診斷,普遍具有幹擾性。[63] 並且本病的嚴重程度不同種族的人之間的差異較大。多項研究數據顯示擁有非洲血統的人患病情況可能會更嚴重,比高加索人,他們更容易患病。[77]
種族和性別的不同,結節病的表現似乎略有不同。結節性紅斑男性比女性更為常見,且在白種人中比其他種族的人群更為常見的。在日本,眼部、心臟的受累也比在其他種族中更為常見的。[61]
結節病是非吸煙者中發病率較高的幾個肺部疾病之一。[78]
懷孕
結節病一般不會阻止懷孕和分娩:內源性雌激素在懷孕期間可能有一個對免疫調節有利的作用。在大多數情況下,這種疾病的發病過程中是不會影響懷孕的,在少數情況下該病會日益惡化,但在極少數的情況下也能夠得到改善。[42]
在包括結節病的自體免疫性疾病中,該病被列為發展成妊娠毒血症的一個重要的危險因素,也會導致第二和/或第三孕期的妊娠高血壓併發症。妊娠毒血症是一個高風險的疾病,患者應該咨詢一些專家以獲取更多信息。[79]
參見
參考文獻
- Konstantinidis, G. . Elsevier. 2005: 1454 [2020-04-04]. ISBN 9780080460123. (原始内容存档于2020-04-16) (英语).
- . NHLBI. June 14, 2013 [28 March 2016]. (原始内容存档于2016-04-06).
- . NHLBI. June 14, 2013 [29 March 2016]. (原始内容存档于2016-04-07).
- . NHLBI. June 14, 2013 [28 March 2016]. (原始内容存档于2016-04-07).
- Wijsenbeek MS, Culver DA. . Clinics in Chest Medicine. December 2015, 36 (4): 751–67. PMID 26593147. doi:10.1016/j.ccm.2015.08.015.
- Govender P, Berman JS. . Clinics in Chest Medicine. December 2015, 36 (4): 585–602. PMID 26593135. doi:10.1016/j.ccm.2015.08.003.
- Ferri, Fred F. 2nd. Philadelphia, PA: Elsevier/Mosby. 2010: Chapter S. ISBN 978-0323076999.
- Drent M, Cremers JP, Jansen TL. . Current Opinion in Rheumatology. May 2014, 26 (3): 276–84. PMID 24614277. doi:10.1097/bor.0000000000000052.
- Judson MA. . Rheumatic Diseases Clinics of North America. February 2016, 42 (1): 119–35, ix. PMID 26611555. doi:10.1016/j.rdc.2015.08.012.
- GBD 2015 Disease Injury Incidence Prevalence Collaborators. . Lancet. October 2016, 388 (10053): 1545–1602. PMC 5055577
. PMID 27733282. doi:10.1016/S0140-6736(16)31678-6. - GBD 2015 Mortality Causes of Death Collaborators. . Lancet. October 2016, 388 (10053): 1459–1544. PMC 5388903
. PMID 27733281. doi:10.1016/S0140-6736(16)31012-1. - . [2021-10-20]. (原始内容存档于2022-02-07).
- Baughman RP, Culver DA, Judson MA. . American Journal of Respiratory and Critical Care Medicine. March 2011, 183 (5): 573–81. PMC 3081278
. PMID 21037016. doi:10.1164/rccm.201006-0865CI. - . NHLBI. June 14, 2013 [28 March 2016]. (原始内容存档于2016-04-06).
- Kobak S. . Therapeutic Advances in Musculoskeletal Disease. October 2015, 7 (5): 196–205. PMC 4572362
. PMID 26425148. doi:10.1177/1759720x15591310. - James DG, Sharma OP. (PDF). Current Opinion in Pulmonary Medicine. September 2002, 8 (5): 416–23 [2020-04-04]. PMID 12172446. doi:10.1097/00063198-200209000-00013. (原始内容存档 (PDF)于2016-03-04).
- National Heart, Lung, and Blood Institute: DCI Home: Lung Diseases: Sarcoidosis: Signs & Symptoms (页面存档备份,存于) Retrieved on May 9, 2009.
- Tolaney SM, Colson YL, Gill RR; et al. . Clin. Breast Cancer. October 2007, 7 (10): 804–10 [2012-12-03]. PMID 18021484. doi:10.3816/CBC.2007.n.044. (原始内容存档于2019-04-14).
- "Sarcoidosis and the Heart". Foundation for Sarcoidosis Research. Accessed 2 Dec 2007. . [2012-12-03]. (原始内容存档于2012-12-13).
- Isselbacher, Braunwald, Wilson, Martin, Fauci, Kasper. 13th. McGraw Hill. 1994. ISBN 0-07-032370-4.
- Anna M. McDivit and Arman T. Askari, "A Middle-aged Man with Progressive Fatigue", Cleveland Clinic Journal of Medicine 2009; 76(10):564-574 |doi= 10.3949/ccjm.76a.08114}}
- Doughan, A.; Williams, B. . Heart (British Cardiac Society). 2006, 92 (2): 282–288. PMC 1860791
. PMID 16415205. doi:10.1136/hrt.2005.080481. - Reuhl J, Schneider M, Sievert H, Lutz FU, Zieger G. . Forensic Sci. Int. October 1997, 89 (3): 145–53 [2012-12-03]. PMID 9363623. doi:10.1016/S0379-0738(97)00106-0. (原始内容存档于2018-05-01).
- Rajasenan, V.; Cooper, ES. . J Natl Med Assoc. July 1969, 61 (4): 306–9. PMC 2611747
. PMID 5796402. - . [2012-12-03]. (原始内容存档于2020-06-14).
- Rømer, FK; Christiansen, SE; Kragballe, K; Herlin, T; Madsen, M. . Clin. Exp. Immunol. 1984, 58 (2): 357–363. PMC 1577063
. PMID 6094058. - . Am J Respir Crit Care Med. 1999, 160 (2): 736–755. PMID 10430755.
- Wurm, K; Löhr, G. . Sarcoidosis. March 1986, 3 (3(1)): 52–9. PMID 3033787.
- . Philadelphia: Lippincott Williams & Wilkins: 342. 2005.
- Chen HC, Kang BH, Lai CT, Lin YS. . J Chin Med Assoc. July 2005, 68 (7): 339–42 [2012-12-04]. PMID 16038376. doi:10.1016/S1726-4901(09)70172-8. (原始内容存档于2022-02-07).
- Said G, Lacroix C, Plante-Bordeneuve V. . Brain. 2002, 125 (Pt 2): 264–75 [2012-12-04]. PMID 11844727. (原始内容存档于2014-11-11).
- Sirotkin I, Melendez ND. . Diagnostic Imaging. April 2010, 8 [2012年12月4日]. (原始内容存档于2012年2月26日).
- James, William D.; Berger, Timothy G.; et al. . Saunders Elsevier. 2006. ISBN 0-7216-2921-0.
- Rossman MD, Kreider ME. . Proc Am Thorac Soc. August 2007, 4 (5): 453–6. PMID 17684288. doi:10.1513/pats.200607-138MS.
- Iannuzzi MC. . Proc Am Thorac Soc. August 2007, 4 (5): 457–60. PMID 17684289. doi:10.1513/pats.200606-136MS.
- Grunewald J, Eklund A, Olerup O. . Am. J. Respir. Crit. Care Med. March 2004, 169 (6): 696–702. PMID 14656748. doi:10.1164/rccm.200303-459OC.
- Hiramatsu J, Kataoka M, Nakata Y. . Sarcoidosis Vasc Diffuse Lung Dis. October 2003, 20 (3): 197–203. PMID 14620162.
- Inoue Y, Suga M. . Kekkaku. 2008, 83 (2): 115–30. PMID 18326339 (日语).
- Gupta D, Agarwal R, Aggarwal AN, Jindal SK. . Eur. Respir. J. September 2007, 30 (3): 508–16. PMID 17537780. doi:10.1183/09031936.00002607.
- Almenoff PL, Johnson A, Lesser M, Mattman LH. . Thorax. May 1996, 51 (5): 530–3. PMC 473601
. PMID 8711683. doi:10.1136/thx.51.5.530. - Barbour GL, Coburn JW, Slatopolsky E, Norman AW, Horst RL. . N. Engl. J. Med. August 1981, 305 (8): 440–3. PMID 6894783. doi:10.1056/NEJM198108203050807.
- Subramanian P, Chinthalapalli H, Krishnan M. . Chest. September 2004, 126 (3): 995–8. PMID 15364785. doi:10.1378/chest.126.3.995.
- Porter N, Beynon HL, Randeva HS. . QJM. 2003, 96 (8): 553–61 [2012-12-04]. PMID 12897340. doi:10.1093/qjmed/hcg103. (原始内容存档于2021-08-29).
- Yu-Lee LY. . Recent Prog. Horm. Res. 2002, 57: 435–55. PMID 12017556. doi:10.1210/rp.57.1.435.
- Méndez I, Alcocer-Varela J, Parra A. . Lupus. 2004, 13 (1): 45–53. PMID 14870917. doi:10.1191/0961203304lu487oa.
- Papadopoulos KI, Hörnblad Y, Liljebladh H, Hallengren B. . Eur. J. Endocrinol. March 1996, 134 (3): 331–6. PMID 8616531. doi:10.1530/eje.0.1340331.
- Romagnani S. . Immunol. Today. June 1997, 18 (6): 263–6 [2012-12-04]. PMID 9190109. doi:10.1016/S0167-5699(97)80019-9. (原始内容存档于2018-05-01).
- . [2008-09-18]. (原始内容存档于2008-09-15).
- Morell F, Levy G, Orriols R, Ferrer J, De Gracia J, Sampol G. . Chest. April 2002, 121 (4): 1239–44 [2012-12-04]. PMID 11948059. doi:10.1378/chest.121.4.1239. (原始内容存档于2020-05-07).
- DePalma A. . New York Times. May 24, 2007 [2012-12-04]. (原始内容存档于2018-12-25).
- . [2012-12-07]. (原始内容存档于2012-10-24).
- . [2012-12-04]. (原始内容存档于2012-11-04).
- Kettritz R, Goebel U, Fiebeler A, Schneider W, Luft F. . Nephrol. Dial. Transplant. October 2006, 21 (10): 2690–4. PMID 16861724. doi:10.1093/ndt/gfl369.
- Verschueren K, Van Essche E, Verschueren P, Taelman V, Westhovens R. . Clin. Rheumatol. November 2007, 26 (11): 1969–71. PMID 17340045. doi:10.1007/s10067-007-0594-1.
- Stokes MB, Foster K, Markowitz GS. . Nephrol. Dial. Transplant. July 2005, 20 (7): 1400–6. PMID 15840673. doi:10.1093/ndt/gfh832.
- . [2012-12-05]. (原始内容存档于2010-03-27).
- Allmendinger A, Perone R. . Diagnostic Imaging. 2009, 31 (9): 10.
- 陸再英、鐘南山. . 人民衛生出版社. 2011: 106–109. ISBN 978-7-117-09652-2.
- Adonopoulos A.P et al. Asymptomatic gastrocnemius muscle biopsy: an extremely sensitive and specific test in the pathological confirmation of sarcoidosis presenting with hilar adenopathy. Clinical and experimental Rheumatology, 2001, 19(5), pp. 569-572.
- Antonelli A, Fazzi P, Fallahi P, Ferrari SM, Ferrannini E. . Chest. August 2006, 130 (2): 526–32. PMID 16899854. doi:10.1378/chest.130.2.526.
- Nunes H, Bouvry D, Soler P, Valeyre D. . Orphanet J Rare Dis. 2007, 2: 46. PMC 2169207
. PMID 18021432. doi:10.1186/1750-1172-2-46. - White, E.S.; Lynch Jp, 3rd. . Expert Opinion on Pharmacotherapy. June 2007, 8 (9): 1293–1311. PMID 17563264. doi:10.1517/14656566.8.9.1293.
- Syed J, Myers R. . Can J Cardiol. January 2004, 20 (1): 89–93. PMID 14968147.
- Karakantza, M.; Matutes, E.; MacLennan, K.; O'Connor, NT.; Srivastava, PC.; Catovsky, D. . J Clin Pathol. March 1996, 49 (3): 208–12. PMC 500399
. PMID 8675730. doi:10.1136/jcp.49.3.208. - Askling J, Grunewald J, Eklund A, Hillerdal G, Ekbom A. . Am. J. Respir. Crit. Care Med. November 1999, 160 (5 Pt 1): 1668–72. PMID 10556138.
- Kornacker, M.; Kraemer, A.; Leo, E.; Ho, A. . Annals of hematology. 2002, 81 (2): 103–105. PMID 11907791. doi:10.1007/s00277-001-0415-6.
- Suvajdzic, N.; Milenkovic, B.; Perunicic, M.; Stojsic, J.; Jankovic, S. . Medical Oncology. 2007, 24 (4): 469–471. PMID 17917102. doi:10.1007/s12032-007-0026-8.
- Yao, M.; Funk, G.; Goldstein, D.; Deyoung, B.; Graham, M. . Journal of clinical oncology : official journal of the American Society of Clinical Oncology. 2005, 23 (3): 640–641. PMID 15659510. doi:10.1200/JCO.2005.02.089.
- Yamasawa, H.; Ishii, Y.; Kitamura, S. . Respiration. 2000, 67 (1): 90–93. PMID 10705270. doi:10.1159/000029470.
- Zambrana, F.; Antúnez, A.; García-Mata, J. S.; Mellado, J. M.; Villar, J. L. . Clinical and Translational Oncology. 2009, 11 (6): 396–398. PMID 19531456. doi:10.1007/s12094-009-0375-1.
- Schiller, G.; Said, J.; Pal, S. . Leukemia : official journal of the Leukemia Society of America, Leukemia Research Fund, U.K. 2003, 17 (10): 2057–2059. PMID 14513061. doi:10.1038/sj.leu.2403074.
- Maloisel, F.; Oberling, F. . Journal of the Royal Society of Medicine. 1992, 85 (1): 58–59. PMC 1293471
. PMID 1548666. - Reich, J. M. . Cancer. 1985, 55 (2): 366–282 [2012-12-07]. PMID 3855267. (原始内容存档于2016-03-07).
- Sam, Amir H.; James T.H. Teo. . Wiley-Blackwell. 2010. ISBN 1405183233.
- Henke, CE.; Henke, G.; Elveback, LR.; Beard, CM.; Ballard, DJ.; Kurland, LT. . Am J Epidemiol. May 1986, 123 (5): 840–5. PMID 3962966.
- Rutherford RM, Brutsche MH, Kearns M, Bourke M, Stevens F, Gilmartin JJ. . Eur J Gastroenterol Hepatol. September 2004, 16 (9): 911–5 [2012-12-05]. PMID 15316417. doi:10.1097/00042737-200409000-00016. (原始内容存档于2012-06-10).
- . American Journal of Respiratory and Critical Care Medicine. 1999, 160 (2): 736–755. PMID 10430755.
- Warren, C. P. (PDF). Thorax. 1977, 32 (5): 567–569. PMC 470791
. PMID 594937. doi:10.1136/thx.32.5.567. - Preeclampsia Foundation FAQ - www.preeclampsia.org
外部連結
- Sarcoidosis UK Information Hub(页面存档备份,存于)
- Iannuzzi, M. C.; Sah, B. P. . The Merck Manual Home Edition (Merck Sharp & Dohme Corp). March 2008 [19 February 2014]. (原始内容存档于2014-02-20).
| 维基共享资源上的相关多媒体资源:结节病 |

