急性骨髓性白血病
急性骨髓性白血病(acute myeloid leukemia,AML)又稱急性髓系白血病,是一種骨髓性血液細胞過度增生造成的癌症,特色為大量不正常的細胞在骨髓和血液中快速生長,而干擾造血作用[1]。症狀可能包括疲倦、呼吸困難、容易瘀青和流血、感染風險增加等[1]。癌細胞有時也會散佈到腦、皮膚、牙齦等處[1]。作為一種急性白血病,急性骨髓性白血病進展迅速,沒有治療的話通常會在數週至數個月內喪命[1][6]。
| 急性骨髓性白血病 | |
|---|---|
![]() | |
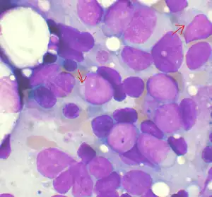
| 骨髓穿刺的檢體顯示急性骨髓性白血病,箭頭所指為棒狀體。 | |
| 症状 | 倦怠、呼吸困難、容易瘀青或出血、感染風險增加[1] |
| 常見始發於 | 所有年齡,最常發生在65–75歲[2] |
| 风险因子 | 吸菸、化學治療或放射治療、骨髓增生异常综合征、苯[1] |
| 診斷方法 | 骨髓穿刺、血液检查[3] |
| 治療 | 化學治療、放射治療、骨髓移植[1][3] |
| 预后 | 五年存活率約27%(美國)[2] |
| 盛行率 | 百萬分之一(2015)[4] |
| 死亡數 | 每年約15萬人(2015)[5] |
| 分类和外部资源 | |
| 醫學專科 | 血液學、肿瘤学 |
| ICD-11 | 2A60.3Z |
| ICD-9-CM | 205.0、205.00 |
| OMIM | 601626 |
| DiseasesDB | 203 |
| MedlinePlus | 000542 |
| eMedicine | 197802 |
| Orphanet | 519 |
急性骨髓性白血病的風險因子有吸煙、曾接受過化學治療或放射治療、患有骨髓增生异常综合征(MDS)和接觸特定的化學物質(如苯)[1]。致病的機轉為正常的骨髓被白血病細胞取代,造成紅血球、血小板和正常的白血球減少[1]。診斷需藉助骨髓檢查與特定的血液检查[3]。不同亞型的治療和預後則有很大的差異[1]。
急性骨髓性白血病通常會先以化學療法治療,以期能使疾病緩解[1],患者在疾病緩解後可能會接受進一步的化學治療、放射治療或骨髓移植[1][3]。若癌細胞有特定的基因突變則會影響患者可能的存活時間和治療策略[3]
2015年,全球約有一百萬人罹患急性骨髓性白血病,並有147,000人因此死亡[4][5]。此病最常出現在老年人[2],且男性較女性多[2]。60歲以下的五年生存率約35%,60歲以上的五年生存率約為10%[3]。接受化療的老年患者的中位生存期為6.1個月,而未接受化療的患者的中位生存期為1.7個月[3]。急性骨髓性白血病大約佔美國癌症死亡數的1.8%[2]。
症狀

急性骨髓性白血病的徵象和症候多半源自於白血病細胞取代了正常的血液細胞。缺乏正常的白血球將造成患者容易受到感染,雖然白血病細胞本身也是來自白血球的前驅細胞,但它們沒有對抗感染的能力[7];紅血球減少(貧血)將造成身體疲勞、膚色蒼白和呼吸困難;血小板低下則會使患者容易瘀傷或因微小的創傷而血流不止。
急性骨髓性白血病早期的表現通常很隱晦且不具特異性,症狀可能和流行性感冒或其他常見的疾病類似。常見的全身性症狀包括發燒、疲勞、體重下降、食慾不振、呼吸困難、貧血、容易瘀青或流血、瘀點(皮下出血所形成的平整小紅點,約如針頭大小)、骨痛或關節痛、持續或經常感染[7]。
脾腫大也可能發生,但通常較輕微且無症狀;和急性淋巴性白血病相反,淋巴腫大在急性骨髓性白血病中很罕見。約10%的患者會以皮膚白血病的形式呈現。很少數的患者會出現史維特症候群,這是一種會造成皮膚發炎的腫瘤伴隨症候群[7]。
有些患者會因為白血病細胞浸潤而造成牙齦腫大。少數患者第一個發現的症狀可能會是一個白血病細胞組成的腫塊,稱之為綠色瘤。有時患者可能沒有任何症狀,但因接受常規血液检查而意外發現白血病[8]。
風險因子
目前已知可能造成急性骨髓性白血病的風險因子包括:其它血液疾病、暴露特定化學物質、游離輻射和基因。
其它血液疾病
一些可能演變為急性骨髓性白血病的血液疾病被稱為「前白血病」,例如骨髓增生异常综合征(MDS)或骨髓增殖性疾病(MPN)都屬此類,該疾病演變為急性骨髓性白血病的風險取決於該疾病本身的亞型[9]。無症狀的複製性造血作用也會增加急性骨髓性白血病的風險,發生率約為每年0.5–1.0%[10]。
化學物質暴露
接受抗癌化療藥品(尤其是烷化劑)會增加之後罹患急性骨髓性白血病的風險,此風險在接受治療後三至五年最高[11];其他化療藥品如鬼臼毒素(epipodophyllotoxins)和蒽环类药物(anthracycline)則特別和帶有特定染色體異常的白血病有關[12]。
苯和其他芳香類溶劑的職業暴露是否會造成白血病一直有爭議,苯和其衍生物在體外實驗中是已知的致癌物質,雖然一些研究認為長期暴露於這些化學物質會增加急性骨髓性白血病的風險[13],但一些研究者認為這些暴露對風險的影響十分輕微[14]。
輻射暴露
暴露於大量的游離輻射會增加急性骨髓性白血病的風險。廣島和長崎原子彈攻擊的倖存者罹患急性骨髓性白血病的比率較高[15];同樣地,大量暴露於X射線的放射師在實施現代的輻射安全措施之前也有較高的罹病率[16]。接受游離輻射治療的前列腺癌、非霍奇金氏淋巴瘤、肺癌和乳癌患者罹患急性骨髓性白血病的風險較高,但這樣的風險在接受治療12年後會降低至與一般人無異[17]。
遺傳
有些急性骨髓性白血病似乎也和基因遺傳有關,過去曾有案例指出家族中的成員以高於尋常的比率發生急性骨髓性白血病[18][19][20][21]。一些先天性障碍可能會增加白血病的風險,其中最常見的是唐氏症,唐氏症患者得到急性骨髓性白血病的風險約為常人的10至18倍[22]。此外,GATA2基因基因的兩個對偶基因中的其中一個若發生不活化突變(例如發生單套缺失),該基因的產物GATA2轉錄因子將會減少,造成一種罕見的體染色體顯性遺傳疾病——GATA2缺乏症,這個疾病有各式各樣的表現,罹患急性骨髓性白血病的機率大幅增加便是其一[23][24];在成人和孩童中,容易造成急性骨髓性白血病的基因異常往往不同[25],但GATA2缺乏症導致的急性骨髓性白血病可能在孩童或成人時發生[24]。
診斷

診斷急性骨髓性白血病的第一個線索通常是不正常的全血球計數,雖然白血病常會有不正常的白血球增多,且有時確實能在周邊血見到白血病細胞,但急性骨髓性白血病也可能只出現血小板、紅血球或白血球減少中的其中一個[26]。雖然當血液中含有白血病細胞時,周邊血液抹片能做出初步的診斷,但白血病的確診仍須靠骨髓抽吸或切片檢查,後者同時能排除惡性貧血(維生素B12缺乏症)、葉酸缺乏症和銅缺乏症[27][28][29][30]。
骨髓或周邊血液檢體將會用光學顯微鏡和流式細胞儀檢查,以確認白血病的診斷、區分是否可能為其他種白血病(如急性淋巴性白血病)、並鑑別急性骨髓性白血病的亞型。此外,透過細胞基因分析和熒光原位雜交也能檢查白血病細胞是否有染色體異常;基因檢驗則用來確認白血病細胞是否帶有特定的基因突變,例如FLT3、NPM和KIT,這些基因突變將影響疾病的預後和後續治療策略[31]。
周邊血和骨髓的細胞化學染色在鑑別急性淋巴性白血病、急性骨髓性白血病及其亞型上很有用。使用非特異性彈性酶與髓過氧化物酶或蘇丹黑的雙重染色多半就能提供足夠的資訊,髓過氧化物酶或蘇丹黑能區分淋巴性和骨髓性的白血病,非特異性彈性酶則能染出急性骨髓性白血病細胞中的單核球內容物,辨識出分化不良的單核球母細胞白血病,進而與急性淋巴性白血病做區別[32]。
急性骨髓性白血病的診斷和分類十分困難,須由合格的血液病理學家或血液專科醫師進行。在較單純的案例中,特定的形態學特徵(如出現棒狀體)或流式細胞儀結果能讓醫師辨識出急性骨髓性白血病,但若沒有這些特徵,診斷將會變得困難[33]。
急性骨髓性白血病最常見的兩種分類架構分別為較舊的FAB分型系統和較新的世界衛生組織(WHO)系統。根據使用最廣泛的WHO條件,急性骨髓性白血病的診斷必須在骨髓或血液中看到20%以上的白血病骨髓母細胞,但若為預後最好的三種基因變異型(t(8;21)、inv(16)和t(15;17))則不需考量骨髓母細胞的比例,單用基因即可診斷[34][35]。FAB系統的條件則較為嚴格,要求骨髓或周邊血要有30%的骨髓母細胞[36]。急性骨髓性白血病必須和「前白血病狀態」(例如骨髓增生異常症候群或骨髓增生性疾病)小心區分,其治療方法並不相同。
由於急性前骨髓細胞性白血病(APL)的療法獨特,且有最高的治癒率,因此快速的診斷出此種白血病亞型相當重要。周邊血或骨髓的螢光原位雜合反應可以偵測APL特有的染色體易位[t(15;17)(q22;q12);],因此常用做APL的診斷工具。此外,偵測出PML/RARA融合蛋白分子也相當重要,該蛋白為上述轉位造成的致癌產物[37]。
WHO分類
2008年版的WHO分類系統做了較大幅度的更動,嘗試讓急性骨髓性白血病的分類在臨床上更加實用,期望能提供更多疾病預後的資訊。每個WHO分類之下還有許多次分類,這些次分類可以提供醫師許多具有臨床重要性的資訊,也是血液科醫師或腫瘤科醫師用以溝通的工具。隨著基因定序技術和腫瘤標記的研究進展,WHO分類系統也在2016年做了更新。[38]
2016年版的WHO分類如下:
| 名稱 | 描述 | ICD-O |
|---|---|---|
| 復發性遺傳變異之急性骨髓性白血病 | 包含:
|
多個 |
| 骨髓增生不良相關轉變之急性骨髓性白血病 | 這個類別包含了過去被診斷為骨髓增生異常症候群(MDS)或骨髓增殖性疾病(MPD)但後來轉變為急性骨髓性白血病,或帶有此分類中所列細胞遺傳學特徵的急性骨髓性白血病(可能是過去有MDS或MPD但未被診斷出來,而細胞遺傳學特徵仍傾向患者過去曾有MPS或MPD)。此類急性骨髓性白血病多發生在老人,預後也較差。
|
M9895/3 |
| 治療相關之骨髓瘤 | 此分類包括過去曾接受化學藥物治療或放射治療,並在之後罹患急性骨髓性白血病或骨髓增生不良症候群的患者,這些白血病可能帶有特定的染色體異常,預後通常較差。 | M9920/3 |
| 骨髓性肉瘤 | 此分類包含骨髓性肉瘤(myeloid sarcoma)。 | |
| 唐氏症相關之骨髓增生疾病 | 次分類包括了暫時性骨髓增生疾病(transient abnormal myelopoiesis)和唐氏症相關之骨髓性白血病(myeloid leukemia associated with Down syndrome)。 | |
| 芽細胞胞漿性樹突狀細胞瘤 | 此分類包括了芽細胞胞漿性樹突狀細胞瘤(blastic plasmacytoid dendritic cell neoplasm)。 | |
| 其他急性骨髓性白血病 | 包括了未列入上述分類的其他急性骨髓性白血病。
|
M9861/3 |
系統歧異不明之急性白血病(Acute leukemias of ambiguous lineage)又稱為混合表型白血病或急性雙表型白血病,指的是白血病細胞無法被分類為骨髓性或淋巴性,或兩類細胞都存在。
FAB分類
法美英分類(French-American-British classification,簡稱FAB)系統將根據白血病細胞的來源和分化程度,將急性骨髓性白血病分為M0到M7等8個亞型。 該分類必須使用光學顯微鏡檢視惡性細胞的外觀或以細胞遺傳學技術檢驗潛在的染色體變異,不同亞型會有不同的預後及治療成效。雖然WHO分類(見上述)更為實用,但FAB系統仍被廣泛使用。
1976年時提出了最初的六個FAB亞型(M1到M6)[39],隨後分別在在1985年增加了M7[40]、1987年增加了M0[41]。
| 分型 | 名稱 | 細胞遺傳學 | 佔成人AML的比例 | 表面抗原[42] | ||||
|---|---|---|---|---|---|---|---|---|
| CD14 | CD15 | CD33 | HLA-DR | 其他 | ||||
| M0 | 急性骨髓性白血病,極小分化型 | 5%[43] | - [44] | - [44] | + [44] | + [44] | MPO - [45] | |
| M1 | 急性骨髓性白血病,未成熟型 | 15%[43] | - | - | + | + | MPO + [45] | |
| M2 | 急性骨髓性白血病,顆粒球成熟型 | t(8;21)(q22;q22), t(6;9) | 25%[43] | - | + | + | + | |
| M3 | 前骨髓細胞或急性前骨髓細胞白血病(APL) | t(15;17) | 10%[43] | - | + | + | - | |
| M4 | 急性骨髓單核球白血病 | inv(16)(p13q22), del(16q) | 20%[43] | <45% | + | + | + | |
| M4eo | 骨髓單核球白血病併骨髓內嗜酸性球增生 | inv(16), t(16;16) | 5%[43] | +/- [46] | + [47] | + [47] | CD2+ [47] | |
| M5 | 急性單核球母細胞白血病(M5a)或急性單核球白血病(M5b) | del (11q), t(9;11), t(11;19) | 10%[43] | >55% | + | + | + | |
| M6 | 急性紅血球性白血病,包含紅血球白血病(M6a)和非常罕見的紅血球樣白血病(M6b) | 5%[43] | - | +/- | +/- | +/- | Glycophorin + | |
| M7 | 急性巨核母細胞白血病 | t(1;22) | 5%[43] | - | - | + | +/- | CD41/CD61+ |
急性骨髓性白血病的形態學分型也包含了少數未列於FAB分型中的亞型,例如急性嗜鹼性性球白血病,這種類型曾在1999年被建議增列為第9個亞型(M8)[48]。
病生理學

急性骨髓性白血病中的惡性細胞為骨髓母細胞,在正常的造血過程中,骨髓母細胞是骨髓性白血球不成熟的前驅細胞,而正常的骨髓母細胞則會慢慢分化為成熟的白血球。但在急性骨髓性白血病,由於骨髓母細胞基因突變造成細胞不分化而一直維持在不成熟的狀態[49]。這樣的突變本身不會造成白血病,但當這種不分化的問題合併其他突變,使得細胞的增生不受控制時,單一種不成熟的細胞便會大量產生,造成急性骨髓性白血病[50]。
由於白血球分化中的任何步驟都可能發生癌變,使得急性骨髓性白血病擁有豐富的多樣性與異質性[51]。現代的分類系統依據白血病細胞的分化程度進行分類,認為其表現和特徵會受到分化程度的影響。
許多急性骨髓性白血病患者的癌細胞有特定的細胞遺傳學特徵,這些染色體異常的種類常對疾病的預後有重要影響[52]。轉位的染色體會產生不正常的融合蛋白,當轉錄因子因為行程融合蛋白而改變了其性質時便可能造成白血病細胞停止[53]。舉例來說,急性前骨髓細胞白血病中因為t(15;17)轉位而形成PML-RARα融合蛋白,此蛋白會結合到視黃酸受體元件上,而該元件位於許多骨髓相關基因的啟動子中,因此會抑制骨髓細胞的分化[54]。
急性骨髓性白血病的徵象和症狀來自於白血病細胞的大量增生,從而取代並干擾骨髓中正常的血液細胞發展[55],這將造成嗜中性球低下、貧血和血小板低下,急性骨髓性白血病的症狀因此常和正常血液細胞低下有關。少數患者的白血病細胞可能會在骨髓以外的地方聚集成一個腫塊,稱為綠色瘤,症狀依其位置有所不同[7]。
產生白血病細胞的一個重要並生理機轉為表觀遺傳學調控,特定的基因突變可能改變某些表觀遺傳酵素的功能,進而使得白血病細胞去分化[56]。例如代謝酵素IDH1和IDH2的突變會產生新的致癌代謝物D-2-2-羥基戊二酸(hydroxyglutarate),該代謝物會抑制DNA去甲基酶TET2的活性,而TET2則為一種表觀遺傳酵素[57]。目前的假說認為表觀遺傳學改變可能會造成抑癌基因被抑制或致癌基因被活化[58]。
治療
急性骨髓性白血病的第一線治療為化學治療,療程分為兩個階段:誘導性化學治療和鞏固性化學治療。誘導性化學治療的目的是使白血病細胞數目減少到偵測不到,達到完全緩解(complete remission);而鞏固性化學治療則是要消除殘餘偵測不到的癌細胞,使疾病痊癒[59]。若誘導性化學治療失敗或之後再復發,則須考慮造血幹細胞移植,而針對特定高風險的類型,造血幹細胞移植有時也會作為第一線治療。目前酪氨酸激酶抑制劑相關的新藥研究也正開發中[60]。
誘導期
除了M3以外的所有FAB分型通常都會給予阿糖胞苷(cytarabine,簡稱ara-C)和蒽环类药物(anthracycline)為主的誘導性化學治療,其中最常用的蒽环类药物為道諾黴素(daunorubicin)[61]。最知名的誘導性化學治療是稱為「7+3」(或稱「3+7」)的處方,這是因為該處方中的ara-C須連續靜脈滴注7天,蒽环类药物則須靜脈推注三天。高達70%的急性骨髓性白血病患者在上述配方的治療後能達到緩解[62]。其他的誘導性化學治療配方還包括單用高劑量ara-C、R-HDAC(併用高劑量ara-C和莫須瘤)、FLAG為基礎的配方或其他研發中的藥物[63][64]。由於化療本身的毒性(例如骨髓抑制)和免疫力降低後增加的感染風險,年長的患者可能無法接受誘導性化療,對於此類患者,可能需使用強度較低的化學治療或緩和醫療。
M3亞型的急性骨髓性白血病又稱為急性前骨髓細胞白血病(APL),其治療方法則可以單用三氧化二砷(ATO) [65][66]或全反式視黃酸(ATRA)搭配誘導性化療(通常是搭配蒽環類藥物)[67][68][69]。由於治療時前骨髓細胞可能會將細胞內的顆粒物質釋放到血液中,因此治療時須注意預防弥散性血管内凝血(DIC)的產生。APL的預後非常良好,在現行建議的療法下通常可完全治癒。
誘導期的目的為使疾病達到完全緩解,但完全緩解並不代表疾病已經治癒;相反地,完全緩解只強調在現有的檢測方法下沒有惡性細胞被偵測到[61]。新診斷的成人急性骨髓性白血病約有50%–75%能達到完全緩解,但此數值受上述諸多預後因子的影響而有不同[70]。緩解持續的期間取決於白血病本身的種類,但一般而言,所有未接受鞏固治療的疾病都會再復發[71]。
鞏固期
即便白血病在治療後達到了完全緩解,仍會有少量現在的檢測方法也無法偵測出的白血病細胞殘存;若在緩解其後沒有更進一步的進行治療,幾乎所有急性骨髓性白血病都會再度復發[71],因此鞏固性化學治療的目的就是要消除這些偵測不到的疾病,以預防復發、達成痊癒。
白血病緩解後的治療方式取決於患者本身的預後因子(見上述)和整體健康狀況。針對預後較佳的白血病(如inv(16)、t(8;21)和t(15;17)),患者一般會在接受三至五個療程的密集化學治療,即鞏固性化療[72][73];至於較容易復發的白血病(如帶高風險的細胞遺傳學特徵、原本患有骨髓增生異常症候群或治療相關的急性白血病),若患者有合適的捐贈者且健康狀況允許的話,一般會建議進行異體造血幹細胞移植。針對中度風險的急性骨髓性白血病(細胞遺傳學正常或沒有列入低風險和高風險之列),疾病緩解後的最佳療法目前沒有定論,須視患者年紀、整體健康狀況、患者決定、是否有合適的幹細胞捐贈者而定[73]。
對於不適合進行幹細胞移植的患者,在鞏固期化療完成後可給予結合二鹽酸組織胺(Ceplene)和介白素-2(Proleukin)的免疫療法,該療法已被證實能減少14%的復發率,並增加將近50%的長期緩解率[74]。
預後


急性骨髓性白血病是一種可被治癒的疾病,患者能被治癒的機率取決於數項預後因子[81]。
細胞遺傳學
急性骨髓性白血病單一最重要的預後因子就是細胞遺傳學,即白血病細胞的染色體結構。特定的細胞遺傳異常和特別好的預後有關,例如急性前骨髓性白血病的t(15;17)轉位;約有一半的急性骨髓性白血病有「正常」的細胞遺傳學,也就是具有中度的風險;一些其他的細胞遺傳學變異岞和較差的預後和較高的治療後復發率有關[82][83][84]。
MRC臨床試驗是第一個發表細胞遺傳學與預後間關聯的研究,其中提到的細胞遺傳變異分類如下:[85]
| 風險類別 | 變異 | 五年存活率 | 復發率 |
|---|---|---|---|
| 佳(Good) | t(8;21)、t(15;17)、inv(16) | 70% | 33% |
| 中度(Intermediate) | 正常、+8、+21、+22、del(7q)、del(9q)、異常的11q23、其他結構或套數變化 | 48% | 50% |
| 差(Poor) | −5、−7、del(5q)、異常的3q、複雜染色體Complex cytogenetics | 15% | 78% |
其後,美國西南癌症組織、東岸癌症合作組織[86]、和更之後的癌症與白血病組織B也陸續發表了其他細胞遺傳學與其預後之關聯的文獻[84]。
骨髓增生異常症候群
如同化療或其他惡性腫瘤導致的急性骨髓性白血病,由骨髓增生異常症候群(MDS)或骨髓增殖性疾病導致的急性骨髓性白血病(俗稱次發性白血病)的預後較差,這些類型的急性骨髓性白血病通常有不佳的細胞遺傳學異常[87][88][89]。
其他生物指標
在一些研究中,年紀大於60歲或乳酸脱氢酶(LDH)升高和較差的預後有關[90];和大多數的癌症一樣,日常體能狀態(如整體身體狀態和活動能力)也對預後有很大的影響。急性骨髓性白血病整體的五年存活率約為25%,60歲以下的患者佔了整體的40%,但只有10%能在診斷後存活超過五年[91]。
基因型
許多分子突變對急性骨髓性白血病預後的影響正被學者研究當中;但目前為止,只有FLT3-ITD、NPM1、CEBPA和c-KIT被列入國際風險分級的評估之中,但更多的突變在未來很可能被列入[3]。FLT3基因的內部串聯重複序列(ITDs)已被證實會造成較差的預後,一些FLT3抑制劑正在進行臨床試驗,目前結果有好有壞。另外兩個突變——NPM1和CEBPA則和較佳的預後有關,在細胞遺傳學正常的患者中尤為如此,這兩個突變已列入目前的風險分級當中[3]。
c-KIT突變對急性骨髓性白血病的臨床重要性還在研究當中,因為該突變在藥理學上有已上市的酪胺酸激酶抑制劑——如伊马替尼(imatinib)和舒尼替尼(sunitinib)——可供使用,因此這方面的研究十分盛行。[3]RUNX1、ASXL1、TP53等突變和較差的治療效果有關,在不久的將來也可能會列入疾病的風險分級當中;至於DNMT3A、IDH1、IDH2) 等突變對預後的影響則相對較不明朗[56][3]。
流行病學
急性骨髓性白血病是一種相對少見的癌症,美國每年約有10,500名新發案例,發生率從1995年到2005年都維持穩定,佔了癌症死亡人數的1.2%[96]。在英國則佔了所有白血病的34%,2011年約有2,900人被診斷出此疾病[97]。
急性骨髓性白血病的發生率隨年紀增加,診斷年齡中位數為63歲。急性骨髓性白血病佔了成人急性白血病的90%,但在孩童則相當少見[96]。治療相關的白血病(即肇因於先前的化學治療)的發生率正在增加,目前約佔了急性骨髓性白血病的10–20%[98]。男性的發生率略高於女性,比例約為1.3:1[99]。
急性骨髓性白血病的發生率有一些地理分布的差異,北美、歐洲和大洋洲的成人發生率最高,亞洲和拉丁美洲則較少[100][101];相反地,兒童的發生率則是北美和印度比亞洲其他地方少[102]。這樣的差異可能與族群遺傳、環境因素或上述兩者的結合有關。
歷史

第一個紀錄白血病的醫學文獻可以追溯到1827年由法國醫師Alfred-Armand-Louis-Marie Velpeau診治的一名63歲患者,該患者有發燒、虛弱、腎結石和明顯的肝脾腫大,Velpeau注意到這名患者的血液相當黏稠如膠水一般,並猜測是白血球(white corpuscles)造成的[103]。1845年,爱丁堡的病理學家J.H. Bennett發現有一群人死於脾臟腫大,他們的血液都有「顏色和質地」的變化,他用「白血球過多(leucocythemia)」來描述該病理狀況[104]。
白血病(leukemia)這個名詞是由魯道夫·菲爾紹(Rudolf Ludwig Karl Virchow)——一位知名的德國病理學家——在1856年創造的。身為病理學界光学显微镜的先驅,菲爾紹首度發現和Velpeau與Bennett的紀錄有相同症狀的患者血液中的白血球異常增多。由於菲爾紹並不知道白血球增多的病因,因此使用了leukemia(希臘文的白血球)這個字來描述此狀況[105]。
隨著新科技的進展,人們對急性骨髓性白血病的了解迅速增加。1877年,保罗·埃尔利希(Paul Ehrlich)發展出了血液抹片染色技術,使他得以描述不正常白血球的型態。Wilhelm Ebstein在1889年使用了「急性白血病」(acute leukemia)一詞,以區分進展迅速且致命的白血病和病程較緩和的慢性白血病[106]。「骨髓性(myeloid)」這個詞彙則是由F·恩斯特·C·诺伊曼在1869年創造的,他也是第一個發現白血球是由骨髓而非脾臟產生的病理學家,而骨髓的古希臘語正是μυєλός()。藉由骨髓檢查診斷白血病的方法則是由Mosler在1879提出[107]。最後,Otto Naegeli在1900年時發現了骨髓母細胞(即急性骨髓性白血病惡性細胞的來源),同時也將白血病區分為骨髓性和淋巴性兩個類型[108][109]。
2008年,急性骨髓性白血病成為第一種被完成全基因體定序的癌症,科學家將白血病細胞萃取豬的DNA拿來和正常的皮膚細胞比較,發現白血病細胞在一些先前從未被注意到的基因中也有突變[110]。
懷孕
白血病很少在孕婦出現,孕婦的盛行率大約只有一萬分之一[111]。孕婦的白血病該如何處理取決於白血病的類型,急性白血病通常需要迅速且積極的治療,儘管可能會有流產和胎兒畸形的風險,尤其在妊娠第一個三月期的發育特別敏感,進行化療將會有更高的風險[111]。
參考資料
- . National Cancer Institute. 6 March 2017 [19 December 2017]. (原始内容存档于2018-10-23) (英语).
- . NCI. [10 May 2017]. (原始内容存档于2017-07-28) (英语).
- Döhner, H; Weisdorf, DJ; Bloomfield, CD. . The New England Journal of Medicine. 17 September 2015, 373 (12): 1136–52. PMID 26376137. doi:10.1056/NEJMra1406184.
- GBD 2015 Disease and Injury Incidence and Prevalence, Collaborators. . Lancet. 8 October 2016, 388 (10053): 1545–1602. PMC 5055577
. PMID 27733282. doi:10.1016/S0140-6736(16)31678-6. - GBD 2015 Mortality and Causes of Death, Collaborators. . Lancet. 8 October 2016, 388 (10053): 1459–1544. PMC 5388903
. PMID 27733281. doi:10.1016/S0140-6736(16)31012-1. - Marino, Bradley S.; Fine, Katie S. . Lippincott Williams & Wilkins. 2013: 205 [2020-07-20]. ISBN 9781451116045. (原始内容存档于2021-03-21) (英语).
- Hoffman, Ronald. 4th. St. Louis, Mo.: Elsevier Churchill Livingstone. 2005: 1074–75. ISBN 978-0-443-06629-0.
- Abeloff, Martin. 3rd. St. Louis, Mo.: Elsevier Churchill Livingstone. 2004: 2834. ISBN 978-0-443-06629-0.
- Sanz GF, Sanz MA, Vallespí T, Cañizo MC, Torrabadella M, García S, Irriguible D, San Miguel JF. . Blood. 1989, 74 (1): 395–408. PMID 2752119. doi:10.1182/blood.V74.1.395.395.
- Jaiswal, Siddhartha; Fontanillas, Pierre; Flannick, Jason; Manning, Alisa; Grauman, Peter V.; Mar, Brenton G.; Lindsley, R. Coleman; Mermel, Craig H.; Burtt, Noel. . New England Journal of Medicine. 25 December 2014, 371 (26): 2488–2498 [2020-07-20]. ISSN 0028-4793. PMC 4306669
. PMID 25426837. doi:10.1056/NEJMoa1408617. (原始内容存档于2021-08-27). - Le Beau MM, Albain KS, Larson RA, Vardiman JW, Davis EM, Blough RR, Golomb HM, Rowley JD. . J Clin Oncol. 1986, 4 (3): 325–45. PMID 3950675. doi:10.1200/JCO.1986.4.3.325.
- Thirman MJ, Gill HJ, Burnett RC, Mbangkollo D, McCabe NR, Kobayashi H, Ziemin-van der Poel S, Kaneko Y, Morgan R, Sandberg AA. . N Engl J Med. 1993, 329 (13): 909–14. PMID 8361504. doi:10.1056/NEJM199309233291302.
- Austin H, Delzell E, Cole P. . Am J Epidemiol. 1988, 127 (3): 419–39. PMID 3277397. doi:10.1093/oxfordjournals.aje.a114820.
- Linet, MS. The Leukemias: Epidemiologic Aspects. Oxford University Press, New York 1985.
- Bizzozero OJ, Johnson KG, Ciocco A. . N Engl J Med. 1966, 274 (20): 1095–101. PMID 5932020. doi:10.1056/NEJM196605192742001.
- Yoshinaga S, Mabuchi K, Sigurdson AJ, Doody MM, Ron E. . Radiology. 2004, 233 (2): 313–21 [2020-07-20]. PMID 15375227. doi:10.1148/radiol.2332031119. (原始内容存档于2020-12-24).
- Radivoyevitch, T; Sachs, R K; Gale, R P; Molenaar, R J; Brenner, D J; Hill, B T; Kalaycio, M E; Carraway, H E; Mukherjee, S. . Leukemia. 2016, 30 (2): 285–294. PMID 26460209. doi:10.1038/leu.2015.258.
- Taylor GM, Birch JM. . Henderson ES, Lister TA, Greaves MF (编). 6th. Philadelphia: WB Saunders. 1996: 210. ISBN 978-0-7216-5381-5.
- Horwitz M, Goode EL, Jarvik GP. . Am. J. Hum. Genet. 1996, 59 (5): 990–8. PMC 1914843
. PMID 8900225. - Crittenden LB. . Ann. N. Y. Acad. Sci. 1961, 91 (3): 769–80. Bibcode:1961NYASA..91..769C. PMID 13696504. doi:10.1111/j.1749-6632.1961.tb31106.x.
- Horwitz M. . Leukemia. 1997, 11 (8): 1347–59. PMID 9264391. doi:10.1038/sj.leu.2400707.
- Evans DI, Steward JK. . Lancet. 1972, 2 (7790): 1322. PMID 4117858. doi:10.1016/S0140-6736(72)92704-3.
- Crispino JD, Horwitz MS. . Blood. April 2017, 129 (15): 2103–2110. PMC 5391620
. PMID 28179280. doi:10.1182/blood-2016-09-687889. - Hirabayashi S, Wlodarski MW, Kozyra E, Niemeyer CM. . International Journal of Hematology. August 2017, 106 (2): 175–182. PMID 28643018. doi:10.1007/s12185-017-2285-2.
- Bolouri, Hamid. . Nature Medicine. 2018, 24 (1): 103–112. PMC 5907936
. PMID 29227476. doi:10.1038/nm.4439. - Abeloff, Martin et al. (2004), p. 2834.
- Dokal, I. S.; Cox, T. M.; Galton, D. A. . BMJ (Clinical Research Ed.). 12 May 1990, 300 (6734): 1263–1264. ISSN 0959-8138. PMC 1662842
. PMID 2354298. doi:10.1136/bmj.300.6734.1263. - Aitelli, Cristi; Wasson, Lori; Page, Ray. . Southern Medical Journal. 1 March 2004, 97 (3): 295–297. ISSN 0038-4348. PMID 15043340. doi:10.1097/01.SMJ.0000082003.98003.88.
- Zuo, Zhuang; Polski, Jacek M.; Kasyan, Armen; Medeiros, L. Jeffrey. . Archives of Pathology & Laboratory Medicine. 1 September 2010, 134 (9): 1261–1270 [2020-07-20]. PMID 20807044. doi:10.1043/2009-0350-RA.1 (不活跃 2020-03-07). (原始内容存档于2020-07-26).
- Barzi, Afsaneh; Sekeres, Mikkael A. . Cleveland Clinic Journal of Medicine. 1 January 2010, 77 (1): 37–44. PMID 20048028. doi:10.3949/ccjm.77a.09069.
- Baldus CD, Mrózek K, Marcucci G, Bloomfield CD. . Br. J. Haematol. June 2007, 137 (5): 387–400. PMID 17488484. doi:10.1111/j.1365-2141.2007.06566.x.
- Vardiman JW, Harris NL, Brunning RD. . Blood. 2002, 100 (7): 2292–302. PMID 12239137. doi:10.1182/blood-2002-04-1199.
- Abeloff, Martin et al. (2004), p. 2835.
- Harris NL, Jaffe ES, Diebold J, Flandrin G, Muller-Hermelink HK, Vardiman J, Lister TA, Bloomfield CD. . Ann Oncol. 1999, 10 (12): 1419–32. PMID 10643532. doi:10.1023/A:1008375931236.
- Foucar, Kathryn. (PDF) 3rd. ASCP. [18 March 2016]. (原始内容 (PDF)存档于19 March 2013).
- Amin HM, Yang Y, Shen Y, Estey EH, Giles FJ, Pierce SA, Kantarjian HM, O'Brien SM, Jilani I, Albitar M. . Leukemia. 2005, 19 (9): 1567–1572. PMID 16049515. doi:10.1038/sj.leu.2403876.
- Grimwade D, Howe K, Langabeer S, Davies L, Oliver F, Walker H, Swirsky D, Wheatley K, Goldstone A, Burnett A, Solomon E. . Br J Haematol. 1996, 94 (3): 557–73. PMID 8790159. doi:10.1046/j.1365-2141.1996.d01-1004.x (不活跃 2020-03-07).
- Arber, Daniel A.; Orazi, Attilio; Hasserjian, Robert; Thiele, Jürgen; Borowitz, Michael J.; Le Beau, Michelle M.; Bloomfield, Clara D.; Cazzola, Mario; Vardiman, James W. . Blood. 2016, 127 (20): 2391–2405. ISSN 0006-4971. doi:10.1182/blood-2016-03-643544.
- Bennett JM, Catovsky D, Daniel MT, Flandrin G, Galton DA, Gralnick HR, Sultan C. . Br J Haematol. 1976, 33 (4): 451–8. PMID 188440. doi:10.1111/j.1365-2141.1976.tb03563.x.
- Bloomfield, C. D.; Brunning, R. D. . Annals of Internal Medicine. September 1985, 103 (3): 450–452. ISSN 0003-4819. PMID 4040724. doi:10.7326/0003-4819-103-3-450.
- Lee, E. J.; Pollak, A.; Leavitt, R. D.; Testa, J. R.; Schiffer, C. A. . Blood. November 1987, 70 (5): 1400–1406. ISSN 0006-4971. PMID 3663939. doi:10.1182/blood.v70.5.1400.bloodjournal7051400.
- 除非在表格中另外指出,其餘的參考資料為下列書籍的第97頁 (页面存档备份,存于):Sun, Tsieh. . Philadelphia: Lippincott Williams & Wilkins. 2008. ISBN 978-0-7817-8400-9. OCLC 85862340.
- Seiter, Karen; Jules, E Harris. . 20 May 2011 [26 August 2011]. (原始内容存档于2021-03-21).
- Daniela Mihova. . Pathology Outlines. [2020-07-20]. (原始内容存档于2021-02-22). Topic Completed: 1 March 2013. Minor changes: 19 November 2019}}
- Salem, Dalia A.; Abd El-Aziz, Sherin M. . Indian Journal of Hematology and Blood Transfusion. 2011, 28 (2): 89–96. ISSN 0971-4502. PMC 3332273
. PMID 23730015. doi:10.1007/s12288-011-0110-2. - Partial expression: Adriaansen, HJ; te Boekhorst, PA; Hagemeijer, AM; van der Schoot, CE; Delwel, HR; van Dongen, JJ. . Blood. 1993, 81 (11): 3043–3051. ISSN 0006-4971. PMID 8098967. doi:10.1182/blood.V81.11.3043.bloodjournal81113043.
- Page 99 (页面存档备份,存于) in: Sun, Tsieh. . Dordrecht New York: Springer. 2009. ISBN 978-0-387-89848-3. OCLC 432709321.
- Duchayne E, Demur C, Rubie H, Robert A, Dastugue N. . Leuk Lymphoma. 1999, 32 (3–4): 269–78. PMID 10037024. doi:10.3109/10428199909167387.
- Fialkow PJ. . Biochim. Biophys. Acta. 1976, 458 (3): 283–321. PMID 1067873. doi:10.1016/0304-419X(76)90003-2.
- Fialkow PJ, Janssen JW, Bartram CR. . Blood. 1 April 1991, 77 (7): 1415–7. PMID 2009365. doi:10.1182/blood.V77.7.1415.1415.
- Bonnet D, Dick JE. . Nat. Med. 1997, 3 (7): 730–7. PMID 9212098. doi:10.1038/nm0797-730.
- Abeloff, Martin et al. (2004), pp. 2831–32.
- Greer JP; et al (编). 11th. Philadelphia: Lippincott, Williams, and Wilkins. 2004: 2045–2062. ISBN 978-0-7817-3650-3.
- Melnick A, Licht JD. . Blood. 15 May 1999, 93 (10): 3167–215. PMID 10233871. doi:10.1182/blood.V93.10.3167.410k44_3167_3215.
- Abeloff, Martin et al. (2004), p. 2828.
- Molenaar, R J; Thota, S; Nagata, Y; Patel, B; Clemente, M; Przychodzen, B; Hirsh, C; Viny, A D; Hosano, N. . Leukemia. 2015, 29 (11): 2134–2142. PMC 5821256
. PMID 25836588. doi:10.1038/leu.2015.91. - Molenaar, Remco J.; Radivoyevitch, Tomas; Maciejewski, Jaroslaw P.; van Noorden, Cornelis J. F.; Bleeker, Fonnet E. . Biochimica et Biophysica Acta (BBA) - Reviews on Cancer. 1 December 2014, 1846 (2): 326–341. PMID 24880135. doi:10.1016/j.bbcan.2014.05.004.
- Sharma, Shikhar; Kelly, Theresa K.; Jones, Peter A. . Carcinogenesis. 2010, 31 (1): 27–36. ISSN 0143-3334. PMC 2802667
. PMID 19752007. doi:10.1093/carcin/bgp220. - . The Mount Sinai Hospital. September 2011. (原始内容存档于7 August 2012).
- Kayser, S; Levis, MJ, , Leuk Lymphoma, 2014, 55 (2): 243–255, PMC 4333682
, PMID 23631653, doi:10.3109/10428194.2013.800198. - Abeloff, Martin et al. (2004), pp. 2835–39.
- Bishop JF. . Semin Oncol. 1997, 24 (1): 57–69. PMID 9045305.
- Weick JK, Kopecky KJ, Appelbaum FR, Head DR, Kingsbury LL, Balcerzak SP, Bickers JN, Hynes HE, Welborn JL, Simon SR, Grever M. . Blood. 15 October 1996, 88 (8): 2841–51. PMID 8874180. doi:10.1182/blood.V88.8.2841.bloodjournal8882841.
- Bishop JF, Matthews JP, Young GA, Szer J, Gillett A, Joshua D, Bradstock K, Enno A, Wolf MM, Fox R, Cobcroft R, Herrmann R, Van Der Weyden M, Lowenthal RM, Page F, Garson OM, Juneja S. . Blood. 1 March 1996, 87 (5): 1710–7. PMID 8634416. doi:10.1182/blood.V87.5.1710.1710.
- Iland, Harry J.; Seymour, John F. . Current Treatment Options in Oncology. June 2013, 14 (2): 170–184. ISSN 1534-6277. PMID 23322117. doi:10.1007/s11864-012-0223-3. hdl:11343/219801.
- Alimoghaddam, Kamran. . International Journal of Hematology-Oncology and Stem Cell Research. 2014-07-01, 8 (3): 44–54. ISSN 2008-3009. PMC 4305381
. PMID 25642308. - Huang ME, Ye YC, Chen SR, Chai JR, Lu JX, Zhoa L, Gu LJ, Wang ZY. . Blood. 1 August 1988, 72 (2): 567–72. PMID 3165295. doi:10.1182/blood.V72.2.567.567.
- Tallman MS, Andersen JW, Schiffer CA, Appelbaum FR, Feusner JH, Ogden A, Shepherd L, Willman C, Bloomfield CD, Rowe JM, Wiernik PH. . N. Engl. J. Med. 1997, 337 (15): 1021–8. PMID 9321529. doi:10.1056/NEJM199710093371501.
- Fenaux P, Chastang C, Chevret S, Sanz M, Dombret H, Archimbaud E, Fey M, Rayon C, Huguet F, Sotto JJ, Gardin C, Makhoul PC, Travade P, Solary E, Fegueux N, Bordessoule D, Miguel JS, Link H, Desablens B, Stamatoullas A, Deconinck E, Maloisel F, Castaigne S, Preudhomme C, Degos L. . Blood. 15 August 1999, 94 (4): 1192–200. PMID 10438706. doi:10.1182/blood.V94.4.1192.
- Estey EH. . Oncology (Williston Park). 2002, 16 (3): 343–52, 355–6; discussion 357, 362, 365–6. PMID 15046392.
- Cassileth PA, Harrington DP, Hines JD, Oken MM, Mazza JJ, McGlave P, Bennett JM, O'Connell MJ. . J Clin Oncol. 1988, 6 (4): 583–7. PMID 3282032. doi:10.1200/JCO.1988.6.4.583.
- Mayer RJ, Davis RB, Schiffer CA, Berg DT, Powell BL, Schulman P, Omura GA, Moore JO, McIntyre OR, Frei E. . N. Engl. J. Med. 1994, 331 (14): 896–903. PMID 8078551. doi:10.1056/NEJM199410063311402.
- Appelbaum FR, Baer MR, Carabasi MH, Coutre SE, Erba HP, Estey E, Glenn MJ, Kraut EH, Maslak P, Millenson M, Miller CB, Saba HI, Stone R, Tallman MS. . Oncology (Williston Park, N.Y.). 2000, 14 (11A): 53–61. PMID 11195419.
- Brune M, Castaigne S, Catalano J, Gehlsen K, Ho AD, Hofmann WK, Hogge DE, Nilsson B, Or R, Romero AI, Rowe JM, Simonsson B, Spearing R, Stadtmauer EA, Szer J, Wallhult E, Hellstrand K. . Blood. July 2006, 108 (1): 88–96. PMID 16556892. doi:10.1182/blood-2005-10-4073.
- Abeloff, Martin et al. (2004), pp. 2840–41.
- Appelbaum FR. . Leukemia. 2001, 15 (4): 680–2. PMID 11368380. doi:10.1038/sj/leu/2402074.
- Appelbaum FR. . Leukemia. 2002, 16 (2): 157–9. PMID 11840278. doi:10.1038/sj.leu.2402345.
- Sievers EL, Larson RA, Stadtmauer EA, Estey E, Löwenberg B, Dombret H, Karanes C, Theobald M, Bennett JM, Sherman ML, Berger MS, Eten CB, Loken MR, van Dongen JJ, Bernstein ID, Appelbaum FR. . J. Clin. Oncol. 1 July 2001, 19 (13): 3244–54. PMID 11432892. doi:10.1200/JCO.2001.19.13.3244.
- (PDF). [2020-07-20]. (原始内容存档 (PDF)于2015-09-24).
- . 30 November 2018 [2020-07-20]. (原始内容存档于2019-04-25).
- Estey EH. . Leukemia. 2001, 15 (4): 670–2. PMID 11368376. doi:10.1038/sj/leu/2402057.
- Wheatley K, Burnett AK, Goldstone AH, Gray RG, Hann IM, Harrison CJ, Rees JK, Stevens RF, Walker H. . Br J Haematol. 1999, 107 (1): 69–79. PMID 10520026. doi:10.1046/j.1365-2141.1999.01684.x.
- Slovak ML, Kopecky KJ, Cassileth PA, Harrington DH, Theil KS, Mohamed A, Paietta E, Willman CL, Head DR, Rowe JM, Forman SJ, Appelbaum FR. . Blood. 15 December 2000, 96 (13): 4075–83. PMID 11110676. doi:10.1182/blood.V96.13.4075.
- Byrd JC, Mrózek K, Dodge RK, Carroll AJ, Edwards CG, Arthur DC, Pettenati MJ, Patil SR, Rao KW, Watson MS, Koduru PR, Moore JO, Stone RM, Mayer RJ, Feldman EJ, Davey FR, Schiffer CA, Larson RA, Bloomfield CD. . Blood. 2002, 100 (13): 4325–36. PMID 12393746. doi:10.1182/blood-2002-03-0772.
- Grimwade D, Walker H, Oliver F, Wheatley K, Harrison C, Harrison G, Rees J, Hann I, Stevens R, Burnett A, Goldstone A. . Blood. 1 October 1998, 92 (7): 2322–33. PMID 9746770. doi:10.1182/blood.V92.7.2322.
- Slovak ML, Kopecky KJ, Cassileth PA, Harrington DH, Theil KS, Mohamed A, Paietta E, Willman CL, Head DR, Rowe JM, Forman SJ, Appelbaum FR. . Blood. 2000, 96 (13): 4075–83. PMID 11110676. doi:10.1182/blood.V96.13.4075.
- Thirman MJ, Larson RA. . Hematol Oncol Clin North Am. 1996, 10 (2): 293–320. PMID 8707757. doi:10.1016/S0889-8588(05)70340-3.
- Rowley JD, Golomb HM, Vardiman JW. . Blood. 1 October 1981, 58 (4): 759–67. PMID 7272506. doi:10.1182/blood.V58.4.759.759.
- Lee JT, Lee JD, Choe KO, Yang WI. . Blood. 2002, 99 (6): 1909–12. PMID 11877259. doi:10.1182/blood.V99.6.1909.
- Haferlach T, Schoch C, Löffler H, Gassmann W, Kern W, Schnittger S, Fonatsch C, Ludwig WD, Wuchter C, Schlegelberger B, Staib P, Reichle A, Kubica U, Eimermacher H, Balleisen L, Grüneisen A, Haase D, Aul C, Karow J, Lengfelder E, Wörmann B, Heinecke A, Sauerland MC, Büchner T, Hiddemann W. . J. Clin. Oncol. 2003, 21 (2): 256–65. PMID 12525517. doi:10.1200/JCO.2003.08.005.
- Chabner, Bruce A.; Lynch, Thomas J.; Longo, Dan L. . McGraw Hill Professional. 22 March 2014: 294 [2020-07-20]. ISBN 9780071793261. (原始内容存档于2020-11-26) (英语).
- Cassileth PA, Harrington DP, Appelbaum FR, Lazarus HM, Rowe JM, Paietta E, Willman C, Hurd DD, Bennett JM, Blume KG, Head DR, Wiernik PH. . N. Engl. J. Med. 1998, 339 (23): 1649–56. PMID 9834301. doi:10.1056/NEJM199812033392301.
- Matthews JP, Bishop JF, Young GA, Juneja SK, Lowenthal RM, Garson OM, Cobcroft RG, Dodds AJ, Enno A, Gillett EA, Hermann RP, Joshua DE, Ma DD, Szer J, Taylor KM, Wolf M, Bradstock KF. . Br. J. Haematol. 2001, 113 (3): 727–36. PMID 11380464. doi:10.1046/j.1365-2141.2001.02756.x.
- Sanz MA, Lo Coco F, Martín G, Avvisati G, Rayón C, Barbui T, Díaz-Mediavilla J, Fioritoni G, González JD, Liso V, Esteve J, Ferrara F, Bolufer P, Bernasconi C, Gonzalez M, Rodeghiero F, Colomer D, Petti MC, Ribera JM, Mandelli F. . Blood. 15 August 2000, 96 (4): 1247–53 [2020-07-20]. PMID 10942364. (原始内容存档于2010-05-27).
- Duffin, Jacalyn. . The New York Times. 5 September 2016 [12 March 2018]. ISSN 0362-4331. (原始内容存档于2021-03-21) (美国英语).
- Jemal A, Thomas A, Murray T, Thun M. . CA Cancer J Clin. 2002, 52 (1): 23–47. PMID 11814064. doi:10.3322/canjclin.52.1.23.
- . Cancer Research UK. [27 October 2014]. (原始内容存档于2015-05-12).
- Leone G, Mele L, Pulsoni A, Equitani F, Pagano L. . Haematologica. 1 October 1999, 84 (10): 937–45 [2020-07-20]. PMID 10509043. (原始内容存档于2011-10-02).
- Greenlee RT, Hill-Harmon MB, Murray T, Thun M. . CA Cancer J Clin. 2001, 51 (1): 15–36. PMID 11577478. doi:10.3322/canjclin.51.1.15.
- Linet MS. . Lilienfeld AM (编). . New York: Oxford University Press. 1985: I. ISBN 978-0-19-503448-6.
- Aoki K; Kurihars M; Hayakawa N. . Nagoya, Japan: University of Nagoya Press, International Union Against Cancer. 1992.
- Bhatia S, Neglia JP. . J. Pediatr. Hematol. Oncol. 1995, 17 (2): 94–100. PMID 7749772. doi:10.1097/00043426-199505000-00002.
- Hoffman et al. 2005, p. 1071.
- Bennett JH. . Edinburgh Med Surg J. 1845, 64: 413.
- Virchow, R. . Virchow R (编). . Frankfurt: Meidinger. 1856: 190 (德语).
- Ebstein W. . Deutsch Arch Klin Med. 1889, 44: 343.
- Mosler F. . Berl Klin Wochenschr. 1876, 13: 702.
- Naegeli O. . Deutsche Medizinische Wochenschrift. 1900, 26 (18): 287–290 [2020-07-20]. doi:10.1055/s-0029-1203820. (原始内容存档于2021-03-21).
- Wang ZY. . Hematology. 2003, 2003 (1): 1–13. PMID 14633774. doi:10.1182/asheducation-2003.1.1.
- Ley TJ, Mardis ER, Ding L, Fulton B, McLellan MD, Chen K, Dooling D, Dunford-Shore BH, McGrath S, Hickenbotham M, Cook L, Abbott R, Larson DE, Koboldt DC, Pohl C, Smith S, Hawkins A, Abbott S, Locke D, Hillier LW, Miner T, Fulton L, Magrini V, Wylie T, Glasscock J, Conyers J, Sander N, Shi X, Osborne JR, Minx P, Gordon D, Chinwalla A, Zhao Y, Ries RE, Payton JE, Westervelt P, Tomasson MH, Watson M, Baty J, Ivanovich J, Heath S, Shannon WD, Nagarajan R, Walter MJ, Link DC, Graubert TA, DiPersio JF, Wilson RK. . Nature. 2008, 456 (7218): 66–72. Bibcode:2008Natur.456...66L. PMC 2603574
. PMID 18987736. doi:10.1038/nature07485. - Shapira T, Pereg D, Lishner M. . Blood Rev. September 2008, 22 (5): 247–59. PMID 18472198. doi:10.1016/j.blre.2008.03.006.
