上腔靜脈症候群
上腔静脉综合征( SVCS ) 是由上腔静脉(“SVC”) 阻塞引起的一组症状。
上腔静脉是一条短而宽的血管,将循环血液输送到心脏。
典型特征是面部和手臂水肿(由于液体过多而肿胀)以及胸壁前部侧支静脉肿胀。呼吸急促和咳嗽是很常见的症状;据报道,11% 的病例出现吞咽困难,6% 出现头痛,4% 出现喘鸣(高音调喘息)。这些症状很少危及生命,但会厌水肿会使呼吸困难,脑水肿会导致警觉性降低,并且在不到 5% 的 SVCO 病例中,有严重的神经系统症状或气道受损的报道。上腔静脉综合征的缓解与潜在压迫的治疗直接相关。 [1]
大多数病例是由纵隔内的恶性肿瘤直接压迫或侵犯上腔静脉壁引起,最常见的是肺癌和非霍奇金淋巴瘤。
由于血管内装置(例如永久中心静脉导管以及起搏器和除颤器导线)的广泛使用,非恶性原因的患病率正在增加,这可能导致血栓形成。 [2]其他非恶性原因包括良性纵隔肿瘤、主动脉瘤、感染和纤维化纵隔炎。 [3]
体征和症状
以下是常见症状:
- 呼吸困难[5]
- 面部肿胀[5]
- 颈部静脉扩张以及上胸部和手臂静脉扩张[5]
- 咳嗽[4]
- 颈部水肿(肿胀),称为斯托克斯颈[6]
- 头痛[5]
- 偏头痛(尤其是异常偏头痛)
- 肺活量大幅下降
- 弯腰/躺下后面部肿胀
- 上肢水肿[5]
- 头晕[4]
随着恶性肿瘤体积或侵袭性的增加,症状也会随着时间的推移而增加。上腔静脉综合征通常会逐渐出现。 [4]
原因

80%以上的病例是由于恶性肿瘤压迫上腔静脉引起的。肺癌,通常是小细胞癌,占这些病例的 75-80%,非霍奇金淋巴瘤,最常见的是弥漫性大 B 细胞淋巴瘤,占 10-15%。
梅毒和结核病也可引起上腔静脉综合征。 [4] SVCS 可由病理过程的侵入或压迫或静脉本身的深静脉血栓形成引起,尽管后者不太常见(约 35% 由于使用血管内装置)。 [4]
诊断


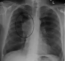
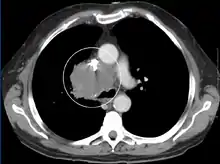
诊断 SVCS 的主要技术是胸X 光检查 (CXR)、 CT 扫描、支气管镜下经支气管针吸活检和纵隔镜检查。 [5] CXR 通常能够显示纵隔增宽,并可能显示 SVCS 的主要原因。 [5]
CT 扫描应进行对比增强,并针对颈部、胸部、下腹部和骨盆进行。 [5]它们还可能显示根本原因以及疾病进展的程度。 [5]
治疗
治疗方法有药物治疗和手术。 [4]糖皮质激素(如泼尼松或甲基泼尼松龙)可减轻肿瘤侵袭和肿瘤周围水肿的炎症反应。 [4]如果肿瘤对类固醇有反应,例如淋巴瘤,则糖皮质激素最有帮助。
此外,利尿剂(如速尿)用于减少静脉回流心脏,从而缓解增加的压力。 [4]
在急性情况下,血管内支架置入术可以在短短 12-24 小时内缓解症状,且风险最小。</link>
如果患者需要呼吸辅助,气道压力增加往往会进一步压缩已经受损的 SVC,并减少静脉回流,从而减少心输出量以及脑血流量和冠状血流量。无论是通过呼吸袋/阀门/面罩、双水平气道正压通气(BiPAP)、持续气道正压通气(CPAP) 还是机械通气,都应格外小心。气管插管期间应允许自主呼吸,直至镇静允许放置 ET 管,并尽可能降低气道压力。</link>
参考文献
- Kent, MS; Port, JL. Chang, AE; Ganz, PA; Hayes, DF; al, et. , 编. . Springer Science & Business Media. 2007: 1291–9. ISBN 978-03873105653
- Rice, TW. . Medicine. January 2006, 85 (1): 37–42. PMID 16523051. doi:10.1097/01.md.0000198474.99876.f0
. - Nickloes TA, Lopez Rowe V, Kallab AM, Dunlap AB. . Medscape (WebMD LLC). 28 March 2018 [3 August 2018].
- emedicine > Superior Vena Cava Syndrome.
- Parker, Robert; Catherine Thomas; Lesley Bennett. . Oxford. 2007: 96–7. ISBN 978-0-19-920244-7.
- define:collar of Stokes at open-resource-project.org.