L型细菌
L型細菌(英語:)係一類在突變後細胞壁缺損的細菌,能在固體培養基上形成煎蛋形的小菌落。L型細菌必須生活在高滲透壓的環境中,否則就會裂解死亡。其細胞膨大,對滲透壓十分敏感。其之所以叫做L-型細菌,是因這類細菌是在1935年最早由英國的李斯德預防醫學研究所發現的,故以李斯德研究所名稱的首字母「L」為其命名[1][2][3]。
兩種L型細菌並不完全相同。不穩定L型細菌,即原生質球(Spheroplast),有分裂能力,且可以恢復到有細胞壁的形態。而另外一種L型細菌,穩定L型細菌則無法恢復到原來有細胞壁的形態。
與L型細菌相似,部分原核生物(比如支原體)同樣沒有細胞壁[4]。但是,這些原核生物並不屬於L型細菌,因為它們不是由有細胞壁的細菌經處理形成的[5]。
外觀和細胞分裂

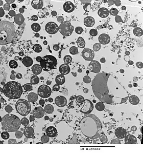
細菌的形態是由細胞壁決定的。而沒有細胞壁的L型細菌,形態也自然異於其它種類的細菌。L型細菌一般都是球形或者橢球形的。舉例來說,在相差顯微鏡或透射電子顯微鏡可以觀察到,由枯草芽孢桿菌衍生出的L型細菌是圓形的[6]。
儘管L型細菌既可以由革蘭氏陽性菌,也可以由革蘭氏陰性菌衍生而來,但如果使用革蘭氏染色法對L型細菌進行染色的話,L型細菌常常會因無細胞壁而呈陰性。
細菌通常採用二分裂方式進行細胞分裂。而細胞壁在細菌的細胞分裂中扮演着重要角色。一般來說,細菌的分裂需要細胞壁及其細胞骨架的部分組分(比如說FtsZ)。但是L型細菌卻能夠在沒有上述兩種物質的前提下正常生長、分裂——這一點尤為特別。分裂時,L型細菌的菌體表面首先會形成凸起;隨後,這些凸起與母體的連接處會縊裂,與母體分離並生成新的細胞。這種比較「雜亂無章」的分裂方使得L型細菌大小變化範圍很廣。有觀點認為,這種分裂方式可能對原始生命形式有着重要意義[2]。

製取及培養
L型細菌能在實驗室中以許多有細胞壁的細菌為原料製備。比如枯草芽孢桿菌、大腸桿菌都可以用來製備L型細菌。通過抑制肽的合成可以製備L型細菌,而前者通常是通過用抗生素或能夠水解細菌細胞壁的溶菌酶對細菌進行處理達成的。為了防止菌體因過渡吸水而裂解,L型細菌通常會在與其細胞質基質具有相同摩爾滲透壓的培養液(即等滲培養液)中培養[3]。L型細菌在製成後可重新長出細胞壁,但可將之長期置於製備環境中避免[7]。
一些研究指出,L型細菌發生了突變,因為它們是由正常的細菌衍生而來的[2][3]。该突变点为一種参与脂質代謝甲羥戊酸途徑的酶。上述突變據信能夠將生成L型細菌的可能性提高至原來的1000倍[2]。這種突變對L型細菌產生影響的機制尚不明確。不過有人推斷該突變影響的酶可能与一種和肽聚糖合成關係密切的脂質生成中扮演着重要角色,因而提高了正常細菌向L型細菌轉化的可能性。
另外,還有一種利用納米技術的誘導L型細菌的方法。實驗者首先使用微流體設備對細菌施加空間限制,進而抑制肽聚糖合成。再經由一個狹窄(亞微米級)的连接两个生境的生物廊道之後,L型細菌就可生成[8]。
意義和應用
部分出版物稱L型細菌可能會引起人類[9]及其它動物的疾病[10]。因為有關L型細菌能致病的證據很零碎而且常常自相矛盾,所以上述說法尚未得到學界的一致認可[11][12]。關於L型細菌的致病性問題,有兩種互相對立的觀點,其中一種觀點認為L性細菌完全沒有研究價值,因為它們完全沒有臨床意義;而另外一種觀點的持有者則認為,L型細菌具有重要意義但還沒有引起人們重視的致病性[5]。有關L型細菌的研究仍在進行。科學家在接種了諾卡氏菌小鼠的肺部中觀察到了L型細菌[13][14]。另外,一項發佈於2001年的研究報告指出,接受造血幹細胞移植患者在免疫被抑制期間可能會被L型細菌感染[15]。另外,還有人提出沒有細胞壁的L型細菌可能在細菌獲得對抗生素的抗性的研究中具重要意義[16]。
L型細菌可能對有關早期的生命形式以及生命科技的研究起到一定作用。科學家努力讓L型細菌成為生命科技中能表達重組基因的受體[17][18][19]。L型細菌很適合作為重組基因的受體,因為他們能夠產生大量的分泌蛋白,而且這些分泌蛋白不會像在有細胞壁的細菌中那樣堆積在週質空間中(分泌蛋白在週質空間中的積累可能會對細菌造成毒害作用,從而造成蛋白質產率的降低)[20][21]。
參見
- 原生質體
- 細胞壁
參考
- . [2014-11-09]. (原始内容存档于2014-11-09) (中文(简体)).
- Leaver M, Domínguez-Cuevas P, Coxhead JM, Daniel RA, Errington J. . Nature. February 2009, 457 (7231): 849–53 [2014-11-16]. PMID 19212404. doi:10.1038/nature07742. (原始内容存档于2011-08-28).
- Joseleau-Petit D, Liébart JC, Ayala JA, D'Ari R. . J. Bacteriol. September 2007, 189 (18): 6512–20 [2014-11-16]. PMC 2045188
. PMID 17586646. doi:10.1128/JB.00273-07. (原始内容存档于2019-10-18). - Razin S, Yogev D, Naot Y. . Microbiol. Mol. Biol. Rev. December 1998, 62 (4): 1094–156 [2014-11-28]. PMC 98941
. PMID 9841667. (原始内容存档于2020-05-30). - Domingue GJ, Woody HB. . Clin. Microbiol. Rev. April 1997, 10 (2): 320–44 [2014-11-28]. PMC 172922
. PMID 9105757. (原始内容存档于2020-05-30). Full PDF (页面存档备份,存于) - Gilpin RW, Young FE, Chatterjee AN. . J. Bacteriol. January 1973, 113 (1): 486–99 [2014-11-28]. PMC 251652
. PMID 4631836. (原始内容存档于2020-05-30). - Allan EJ. . J. Appl. Bacteriol. April 1991, 70 (4): 339–43. PMID 1905284. doi:10.1111/j.1365-2672.1991.tb02946.x.
- Männik J., R. Driessen, P. Galajda, J.E. Keymer, C. Dekker. . PNAS. September 2009, 106 (35): 14861–14866. PMC 2729279
. PMID 19706420. doi:10.1073/pnas.0907542106. - Wall S, Kunze ZM, Saboor S, Soufleri I, Seechurn P, Chiodini R, McFadden JJ. (PDF). J Clin Microbiol. 1993, 31 (5): 1241–5 [2014-11-28]. PMC 262911
. PMID 8501224. (原始内容 (PDF)存档于2022-01-22). - Hulten K, Karttunen TJ, El-Zimaity HM, Naser SA, Collins MT, Graham DY, El-Zaatari FA. . J Microbiol Methods. 2000, 42 (2): 185–95. PMID 11018275. doi:10.1016/S0167-7012(00)00185-8.
- Onwuamaegbu ME, Belcher RA, Soare C. (PDF). J. Int. Med. Res. 2005, 33 (1): 1–20 [2014-11-28]. PMID 15651712. doi:10.1177/147323000503300101. (原始内容 (PDF)存档于2009-08-24).
- Casadesús J. . BioEssays. December 2007, 29 (12): 1189–91. PMID 18008373. doi:10.1002/bies.20680.
- Beaman BL. . Infect. Immun. July 1980, 29 (1): 244–51. PMC 551102
. PMID 7399704. - Beaman BL, Scates SM. . Infect. Immun. September 1981, 33 (3): 893–907. PMC 350795
. PMID 7287189. - Woo PC, Wong SS, Lum PN, Hui WT, Yuen KY. . Lancet. March 2001, 357 (9257): 675–9. PMID 11247551. doi:10.1016/S0140-6736(00)04131-3.
- Fuller E, Elmer C, Nattress F; et al. . Antimicrob. Agents Chemother. December 2005, 49 (12): 5075–80 [2014-11-28]. PMC 1315936
. PMID 16304175. doi:10.1128/AAC.49.12.5075-5080.2005. (原始内容存档于2009-05-29). - Sieben, Stefan. . Dissertation Universität Jena, April 1998, OCLC-Nummer: 246350676.
- Sieben S, Hertle R, Gumpert J, Braun V. . Arch Microbiol. October 1998, 170 (4): 236–42. PMID 9732437. doi:10.1007/s002030050638.
- Gumpert J, Hoischen C. . Current Opinion in Biotechnology. October 1998, 9 (5): 506–9. PMID 9821280. doi:10.1016/S0958-1669(98)80037-2.
- Rippmann JF, Klein M, Hoischen C; et al. . Appl. Environ. Microbiol. 1 December 1998, 64 (12): 4862–9 [2014-11-28]. PMC 90935
. PMID 9835575. (原始内容存档于2019-10-18). - Choi JH, Lee SY. . Appl. Microbiol. Biotechnol. June 2004, 64 (5): 625–35. PMID 14966662. doi:10.1007/s00253-004-1559-9.
延伸閱讀
- Domingue, Gerald J. . Reading, Mass: Addison-Wesley Pub. Co. 1982. ISBN 0-201-10162-9.
- Mattman, Lida H. . Boca Raton: CRC. 2001. ISBN 0-8493-8767-1.
外部連結
- Errington Group at Newcastle University
- Scientists explore new window on the origins of life 2009 Newcastle University press release
