顯影電腦斷層掃描
顯影電腦斷層掃描(英語:)指針對受檢者施打顯影劑的電腦斷層掃描。電腦斷層掃描使用的顯影劑以含碘顯影劑為主,這種方式除有助於區分血管等組織和周邊其他組織,也有助於分析組織的功能是否正常。[1]多數情況下,在對受檢者施打顯影劑前後皆會分別進行成像,顯影劑施打前的圖像又稱為顯影前圖像(precontrast image)或一般階段圖像(native-phase image),施打後的圖像則稱為顯影後圖像(postcontrast image)。[2]


團注追蹤

團注追蹤(bolus tracking)是一種透過充分把關顯影劑的時效以實現顯影效果最佳化的方法。帶有放射不透明的小型顯影劑團注透過周邊靜脈導管注入受檢者體內。依欲成像的血管不同,首先將欲成像的區域周邊劃為感興趣區域(region of interest,簡稱R.O.I.),待顯影劑通過該區域時再進行成像,成像的速率應和顯影劑於血管中流動的速度保持一致。[3]
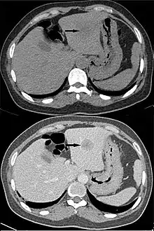
顯影消退
顯影消退(washout)是指顯影劑在動脈相階段被組織吸收後,於靜脈相階段等後續階段逐漸消退的現象。例如,肝細胞癌的顯影電腦斷層掃描中,透過分析腫瘤部位和肝實質部位顯影的時間差,可判斷腫瘤的大小和位置。[4]
階段
依檢查目的不同,施打顯影劑和成像之間的時間差存在不同的規範,以使不同的器官和組織能達到最佳的顯影效果。[5]以下表格列出顯影電腦斷層掃描的主要階段:[6]
| 階段 | 顯影劑注射後計時[6] | 團注追蹤開始後計時[6] | 目標組織和發現[6] |
|---|---|---|---|
| 非顯影電腦斷層掃瞄 | - | - | |
| 肺動脈相階段 | 6-13秒[7] | - | |
| 肺靜脈相階段 | 17-24秒[7] | - | |
| 早期系統性動脈相階段 | 15-20秒 | 即時 |
|
| 晚期系統性動脈相階段 又稱「動脈相階段」(arterial phase) 或「早期門靜脈相階段」(early venous portal phase) |
35-40秒 | 15-20秒 |
|
| 胰臟階段 | 30秒[9]或40-50秒[10] | 20-30秒 | |
| 肝臟階段(較為準確的說法) 又稱「晚期門靜脈相階段」(late venous portal phase) |
70-80秒 | 50-60秒 |
|
| 腎臟階段 | 100秒 | 80秒 |
|
| 系統性靜脈相階段 | 180秒 | 160秒 |
|
| 延遲階段 又稱「顯影消退階段」(wash out phase) 或「均衡階段」(equilibrium phase) |
6-15分[6] | 6-15分[6] |
|
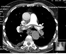
血管攝影
電腦斷層血管攝影為顯影電腦斷層掃描的一種,其針對目標血管的部位和血流相進行成像,以檢查血管疾病。例如,腹部主動脈血管攝影(abdominal aortic angiography)是在動脈相階段(顯影劑於動脈中的濃度高峰期)針對腹部的顯影,可用於檢查如主動脈剝離等症狀。[11]
顯影劑量

成人
下表顯示了正常體重成年人的劑量。 但是,對於有碘顯影劑風險的患者,如過敏反應,顯影劑誘發的腎病,對甲狀腺功能的影響或藥物不良相互作用,可能需要調整甚至停止使用劑量。
| 檢查項目 | 碘濃度 | 說明 | |||
|---|---|---|---|---|---|
| 300 mg/ml | 350 mg/ml | 370 mg/ml | |||
| 腦部CT | 95 ml[12] | 80 ml[12] | 75 ml[12] | ||
| 肺部CT | 整體 | 70-95 ml[註 1] | 60-80 ml[註 1] | 55-75 ml[註 1] | 要檢查出肺部中薄壁組織的變化,往往無需施打靜脈注射顯影劑 |
| 肺血管CT | 20 ml[註 2] | 17 ml[註 2] | 15 ml[註 2] | 使用特定的低對比解析度CT時的最低劑量[註 2] | |
| 腹部和骨盆的CT | 整體 | 70 ml[12] | 60 ml[12] | 55 ml[12] | |
| 肝 | 55 ml[註 3] | 45 ml[註 3] | 40-45 ml[註 3] | 最低有效劑量[註 3] | |
| 血管CT | 25 ml[註 4] | 20 ml[註 4] | 使用特定的低對比解析度CT[註 4] | ||
當受檢者的體重不在正常範圍內,顯影劑的劑量應隨之調整,調整幅度應同受檢者的除脂肪體重等比。對於較為肥胖的受檢者(身體質量指數介於35至40之間),建議使用布爾公式(Boer formula)計算其除脂肪體重:[13]
男性:
女性:
| 縮寫 | 中文名稱 | 單位 |
|---|---|---|
| LBW | 除脂肪體重 | 公斤 |
| W | 體重 | 公斤 |
| H | 身高 | 公尺 |
副作用
含碘顯影劑除可能引起過敏反應、顯影劑腎病變、甲狀腺功能亢進症等症狀,也可能造成二甲雙胍堆積。由於含碘顯影劑沒有絕對的禁忌症,因此使用前應評估利弊和風險。[15]
就如同其他種類的電腦斷層掃描一樣,輻射劑量增加意味著放射性癌症的風險提高。
注射含碘顯影劑有時會造成顯影劑外滲。[16]
參見
註釋
- 0.3-0.4 gI/kg,用於體重70公斤的成年人,參考來源:
- Iezzi, Roberto; Larici, Anna Rita; Franchi, Paola; Marano, Riccardo; Magarelli, Nicola; Posa, Alessandro; Merlino, Biagio; Manfredi, Riccardo; Colosimo, Cesare. . Diagnostic and Interventional Radiology. 2017, 23 (6): 420–427. ISSN 1305-3825. PMC 5669541
. PMID 29097345. doi:10.5152/dir.2017.16615.
- Iezzi, Roberto; Larici, Anna Rita; Franchi, Paola; Marano, Riccardo; Magarelli, Nicola; Posa, Alessandro; Merlino, Biagio; Manfredi, Riccardo; Colosimo, Cesare. . Diagnostic and Interventional Radiology. 2017, 23 (6): 420–427. ISSN 1305-3825. PMC 5669541
- 使用雙能量電腦斷層掃描(如:90/150 SnkVp),參考來源:
- Leroyer, Christophe; Meier, Andreas; Higashigaito, Kai; Martini, Katharina; Wurnig, Moritz; Seifert, Burkhardt; Keller, Dagmar; Frauenfelder, Thomas; Alkadhi, Hatem. . PLOS ONE. 2016, 11 (12): e0167214. ISSN 1932-6203. PMC 5132396
. PMID 27907049. doi:10.1371/journal.pone.0167214.
- Leroyer, Christophe; Meier, Andreas; Higashigaito, Kai; Martini, Katharina; Wurnig, Moritz; Seifert, Burkhardt; Keller, Dagmar; Frauenfelder, Thomas; Alkadhi, Hatem. . PLOS ONE. 2016, 11 (12): e0167214. ISSN 1932-6203. PMC 5132396
- 肝臟的CT成像建議使用顯影劑,以達到至少30 HU的阻射率,參考來源:
- 3. Springer-Verlag Berlin and Heidelberg GmbH & Co. KG. 2010. ISBN 9783642069680.
- Bae, Kyongtae T. . Radiology. 2010, 256 (1): 32–61. ISSN 0033-8419. PMID 20574084. doi:10.1148/radiol.10090908.
- 電腦斷層血管攝影,受檢者為體重70公斤的成年人,配合CT成像的時間,每公斤體重含碘100-150 mg,管電壓為80 kVp(低管電壓),固定對比雜訊比並使用毫安秒補償,顯影劑施打時間的長度固定,開啟自動團注追蹤和鹽水追蹤,參考來源:
- Nyman, Ulf. . 2012. doi:10.5772/29992.
參考文獻
- Webb, W. Richard; Brant, Wiliam E.; Major, Nancy M. . Elsevier Health Sciences. 2014: 152. ISBN 9780323263580 (英语).
- Dahlman, P.; Semenas, E.; Brekkan, E.; Bergman, A.; Magnusson, A. . Acta Radiologica. 2000, 41 (4): 361–366. PMID 10937759. doi:10.1080/028418500127345479.
- Kurokawa, Ryo; Maeda, Eriko; Mori, Harushi; Amemiya, Shiori; Sato, Jiro; Ino, Kenji; Torigoe, Rumiko; Abe, Osamu. . Medicine (Baltimore). 2019, 98 (19). PMID 31083207. doi:10.1097/MD.0000000000015538.
- Choi, Jin-Young; Lee, Jeong-Min; Sirlin, Claude B. . Radiology. 2014, 273 (1): 30–50. ISSN 0033-8419. PMC 4263770
. PMID 25247563. doi:10.1148/radiol.14132362. - Bae, Kyongtae T. . Radiology. 2010, 256 (1): 32–61. ISSN 0033-8419. PMID 20574084. doi:10.1148/radiol.10090908.
- Robin Smithuis. . Radiology Assistant. [2017-12-13]. (原始内容存档于2019-09-29).
- Page 584 in: Ákos Jobbágy. . Springer Science & Business Media. 2012. ISBN 9783642235085.
- Pavan Nandra. . Postering. 2018 [2021-01-08]. (原始内容存档于2020-02-21).
- Raman SP, Fishman EK. . Gastrointest Cancer Res. 2012, 5 (3 Suppl 1): S4–9. PMC 3413036
. PMID 22876336. - Otto van Delden and Robin Smithuis. . Radiology Assistant. [2017-12-15]. (原始内容存档于2019-09-26).
- Mirvis, Stuart E.; Soto, Jorge A.; Shanmuganathan, Kathirkamanathan; Yu, Joseph; Kubal, Wayne S. . Elsevier Health Sciences. 2014: 424. ISBN 9781455758395.
- (PDF). New Zealand Medicines and Medical Devices Safety Authority. [2018-10-16]. (原始内容存档 (PDF)于2021-02-22).
- Caruso, Damiano; De Santis, Domenico; Rivosecchi, Flaminia; Zerunian, Marta; Panvini, Nicola; Montesano, Marta; Biondi, Tommaso; Bellini, Davide; Rengo, Marco; Laghi, Andrea. . BioMed Research International. 2018, 2018: 1–6. ISSN 2314-6133. PMC 6110034
. PMID 30186869. doi:10.1155/2018/8521893. - Nievelstein, Rutger A. J.; van Dam, Ingrid M.; van der Molen, Aart J. . Pediatric Radiology. 2010, 40 (8): 1324–1344. ISSN 0301-0449. PMC 2895901
. PMID 20535463. doi:10.1007/s00247-010-1714-7. - Stacy Goergen. . InsideRadiology - The Royal Australian and New Zealand College of Radiologists. 2017-07-26 [2019-02-22]. (原始内容存档于2021-03-03).
- Hrycyk J, Heverhagen JT, Böhm I. . Acta Radiol. 2019, 60 (4): 496–500. PMID 29896979. doi:10.1177/0284185118782000.