癌细胞
癌细胞是一种因基因变异而失控的特殊细胞,也是形成惡性肿瘤的缘由所在。细胞分裂是身体用于生长和修复的正常过程。通常来说,母细胞分裂形成两个子细胞,这些子细胞可用于构建新的身体组织或替换因衰老和损伤而死亡的细胞。当不再需要更多的子细胞时,细胞的分裂就会终止。但癌细胞却会无限的复制自身,永无止境的增殖下去,并有可能通过远端转移从身体的一个部位扩散到另一个甚至多个部位,继续侵蚀其他身体组织,进而导致癌症。[1]

癌细胞的分裂增殖
癌细胞和正常细胞相比非常危险且特殊。通常来说,由于端粒酶的损耗,细胞无法无限制的复制自身。但癌细胞具有独特的能力,使它们得以"不朽"。它们绕过了细胞分裂的种种限制,并有能力主动修复端粒酶用于不间断的延长自身寿命。大多数细胞的端粒在每次分裂后缩短,最终导致细胞死亡,而癌细胞可以随着时间的推移无限积累自身,这是产生肿瘤的主要原因。癌细胞大体上可分为良性和恶性两种,前者通常不会扩散至其他组织,后者则具有更为明显的侵润组织和易于转移的特性,从而极易发展为恶性肿瘤,也就是癌症。

癌
类别
癌细胞有许多不同类别的,可根据它们起源的细胞类型来定义。[2]
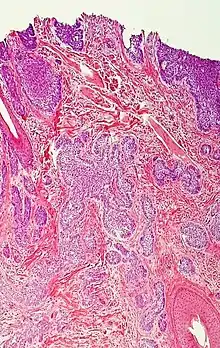
组织学
癌细胞具有在显微镜下可见的明显组织学特征。其细胞核通常较大且不规则,细胞质也可能显示异常。
.jpg.webp)
癌细胞
细胞膜
癌细胞的表面有一种肿瘤抗原(CEA),它能生成相应的抗体阻止癌细胞的生长和发展,这种自我免疫力是癌细胞与生俱来的一大矛盾。但当肿瘤抗原因故失效时,癌细胞的无限增殖便开始了。
参考
- . www.cancer.gov. 2007-09-17 [2021-12-08]. (原始内容存档于2020-12-21) (英语).
- . web.archive.org. 2017-08-27 [2021-12-08]. 原始内容存档于2017-08-27.
This article is issued from Wikipedia. The text is licensed under Creative Commons - Attribution - Sharealike. Additional terms may apply for the media files.