潘科斯特腫瘤
潘科斯特肿瘤是位於肺尖的肿瘤,主要意指為位于右肺或左肺顶端的位置的癌瘤。 常扩散到附近的组织,例如肋骨和脊椎骨 。 大多数潘科斯特腫瘤屬於非小细胞癌。
| 潘科斯特腫瘤 | |
|---|---|
![]() | |
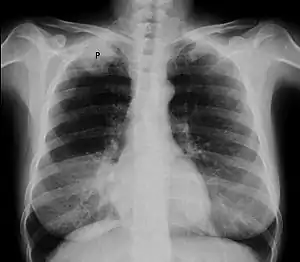
| 胸部X光片,顯示右肺潘科斯特腫瘤(圖上P處);患者為47歲有抽菸史女性,罹患非小細胞肺癌。 | |
| 类型 | 肺癌、pulmonary sulcus neoplasm[*]、疾病 |
| 分类和外部资源 | |
| 醫學專科 | 肿瘤学 |
| ICD-10 | C34.1 |
| DiseasesDB | 31266 |
| eMedicine | 284011 |
肿瘤長大會壓迫可导致臂頭静脉、锁骨下动脉、膈神经、喉返神经、迷走神经;如壓迫交感神经節將导致霍纳症候群 。
潘科斯特肿瘤乃因美国放射診斷科醫師亨利·潘科斯特(Henry Pancoast)而得名,他在1924年和1932年描述此症。 [1]
病徵和症状
除了癌症一般症状(如不适,发热,体重减轻和疲劳),嚴重的潘科斯特肿瘤導致霍纳症候群:瞳孔的收缩、無汗、眼瞼下垂、假性眼球突出(由于上眼睑下垂)。病情惡化後臂神经叢也会受到影响,导致手臂和手部肌肉疼痛和无力 ,伴有典型的胸廓出口症候群症狀 。肿瘤还会压迫喉返神经,因而導致聲音沙啞與「牛一般的」(非爆炸性)咳嗽。
在上腔静脉症候群 ,肿瘤阻塞上腔静脉会导致面部肿胀发紺和頭部與頸部静脉扩张。
潘科斯特肿瘤是一种肺尖肿瘤,病人通常有吸烟史。临床症状和病徵可能與胸腔上出口處的神经血管损害相混淆。 病人的吸烟史,临床症状病徵的迅速发作,以及肋膜疼痛,暗示病人可能有肺尖腫瘤。潘科斯特腫瘤可導致潘科斯特症候群與霍納症候群。提示根尖肿瘤。 当臂神经叢根部受侵犯,会产生潘科斯特症候群。当交感神经纤维離開第一胸椎向上進入上颈神经节時如果受侵犯,会产生霍纳综合症。
诊断
通常在评估临床症状與影像學檢查後可诊断之。胸部X光是不錯的初步檢查,但胸部電腦斷層掃瞄可以提供更好的解析度與判斷對內臟的影響。
治疗
潘科斯特肺癌的治疗可能與其他类型的非小细胞肺癌有所差異。因位置以及靠近重要结构(例如神经和脊柱),使得手術可能有困難。視腫瘤期別而定,可在手術前進行術前輔助放射治療或化學治療。手术可能包括切除肺上叶及其相关结构( 锁骨下动脉、静脉、臂神经叢分支,肋骨和椎骨体部 ),以及纵隔淋巴結廓清。
電腦斷層扫描显示一名47岁女性吸烟者患有潘科斯特肿瘤(标记P處:非小细胞肺癌,右肺)
