心血管磁共振成像
心血管磁共振成像 (CMR), 俗称心脏MRI , 是一种评估心血管系统的功能与结构的一种非侵入式医学成像技术。它运用磁共振成像(MRI)基本原理,针对心血管系统成像的特殊困难,优化现有的MRI成像技术,使其具有临床价值。优化序列设计的重点主要在心电门控和快速成像技术两方面。结合这些不同的技术,组成的方案就能对心血管系统中的主要功能、形态和结构等进行评估。

历史和命名
核磁共振 (NMR) 现象最初是由物理学家拉比在对在分子束(1938)研究中发现, 随后布洛赫和珀塞尔将它推广到了固体和液体中(1946)。这两项工作分别被授予1944年和1952年的 诺贝尔奖。对纵向驰豫时间和横向驰豫时间的进一步研究,产生了核磁共振波谱学。1973年,第一个基于核磁共振原理产生的简单图像面世。紧接着在1977年,利用核磁共振原理,第一个医学图像也产生了,此技术在20世纪80年代初应用在临床上。1984年,核磁共振(NMR)成像更名为磁共振成像(MRI)。磁共振成像速度比较慢,容易产生移动伪影。由于呼吸和心跳运动的影响,早期磁共振成像不能对心脏进行成像。随后,技术的发展利用心电门控、快速成像技术和屏气等方法,解决了呼吸和心跳引起的成像困难。近期,心血管磁共振成像(CMR)技术渐趋成熟和复杂。目前,CMR技术已可以为心脏作电影成像,也可以无创性地为心肌定性,辨别它正常与否(例如,CMR可以分辨心肌的脂肪浸润、水肿、铁含量、急性心肌梗塞或纤维化)。
随着磁共振成像和心血管影像应用变得越来越复杂,临床应用越来越重要,心血管核磁共振学会(SCMR)便应运而生。 (页面存档备份,存于) SCMR 成立于1996年,该学会代表了在心血管磁共振研究和应用领域工作的医生,科学家和技术专家,并作为他们的倡导者。作为一个独立的机构,学会目的是希望通过教育、质量控制、研究和培训等方法,致力于进一步推动并发展心血管磁共振技术的研究和临床应用。其学术期刊Journal of Cardiovascular Magnetic Resonance(JCMR)于1999年发表,并在2008年开放给非会员阅览。“心血管磁共振” (CMR)逐渐成为这一领域的代名词。
物理
CMR的成像原理与其他磁共振成像技术基本原理类似,其关键点是利用心电门控技术,把数据采集的时间控制在心脏跳动周期的某一时段之内。大多数的CMR技术,都以身体水分子中的氢原子(一种化学元素)作为磁共振信号源,因为它在人体内的含量最丰富。CMR不使用电离辐射,它使用磁场的改变和射频(RF)脉冲,由于脉冲与病人自身的氢原子核间的共振现象,病人吸收了射频能量。当这些能量发出时,通过线圈的检测,转换成电信号,再利用算法将其转换成图像。
技术
CMR包括了多种不同的技术。把这些技术结合起来便可以对心脏和血管系统进行综合评估。例子如下:
心脏功能电影成像
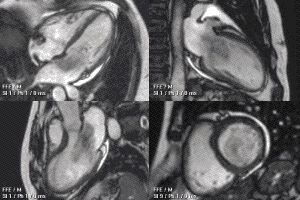
心肌的电影图像可以利用实时CMR成像技术得到,但此方法图像质量有限。最普遍的方法是通过使用心电门控及k-空间分段采集方法,在多个心动周期内来获得一个心动周期每个阶段的图像。该技术形成了利用CMR进行心脏功能评估的基础。这些方法产生的是亮血图像,其中的(亮)血与(黑)心肌之间的对比度可以帮助区分血和心肌。此技术通常会采用平衡稳态自由进动(SSFP)序列,亦被称为TrueFISP、b-FFE或Fiesta,不同的厂商对它有不同的称呼。

利用SSFP得到的四腔心图像
其他应用
在心血管疾病的临床诊断中,CMR能发挥很大的作用。相比其他的医学成像方法,CMR的优势在于成像质量高、非侵入性、准确、无电离辐射;其缺点是费用高,采用的地方不多,需要专业的操作者,技术亦缺乏大量的临床结果(clinical outcome)。
儿童先天性心脏病
先天性心脏缺陷 是儿童出生缺陷类型中最常见的一类,准确的诊断对正确的治疗计划至关重要。CMR可以不使用X射线和不侵入人体,并且提供关于先天性心脏病机理的全面信息。它很少被当做唯一的先天性心脏病检测手段,通常与其他技术一起结合使用。一般来说:选用CMR作临床检查是基于以下几个理由:1)当超声心动图不能提供足够的诊断信息;2)替代有风险的心导管术,包括运用X-射线技术产生的辐射;3)提供CMR特有的心血管信息,例如:血流速度和识别心脏肿瘤;4)当临床评估和其他诊断测试结果不一致时。
例如,CMR在以下病例的诊断中起很大的作用:四联症、大动脉转位、主动脉缩窄、单心室心脏病症、异常的肺静脉、心房间隔缺损,马凡氏综合征、血管环、冠状动脉起源异常及心脏肿瘤等。
运用CMR检查儿童,通常持续15至60分钟。为了避免图像模糊,孩子在测试时必须保持不动,一般来说,大多数7岁或以上的儿童可以很好的跟医生合作。如果孩子不合作,可以通过其他的方式确保检查成功,例如经过适当的安全检查,父母可以进入MRI扫描仪的房间,陪伴他们的孩子完成检查;一些中心会通过让孩子听音乐和看电影来减少他们的焦虑和提高合作度;如果孩子不合作,就必须使用全身麻醉或镇静药物;对于非常年幼的婴儿,可以在他们熟睡的时候进行检测。
不同的磁体类型
CMR扫描仪必须很先进。对于心脏成像,开放磁体不是很适合,因为它们不能很好地应对心跳的影响。现在主要应用两种磁场强度的扫描仪--1.5T 和3T。3T的优势在于它的高信噪比,它在灌注成像中具有特别的优势。但3T的缺点是太贵以及潜在的影响图像质量的伪影。
培训
CMR的培训正在快速的发展,也已变得正规化。培训现在是分阶段,并开始有资格认证。任何人如果考虑选择CMR作为他的事业,培训的资源可以在这里找到here
更多的链接
- The Society for Cardiovascular Magnetic Resonance (页面存档备份,存于)
- The Journal for Cardiovascular Magnetic Resonance (页面存档备份,存于)
- An Atlas of normal cardiac structure and function by CMR
- Having a CMR scan (页面存档备份,存于)
- Cardiac MRI technical primer (页面存档备份,存于)
- ReviseMRI.com (页面存档备份,存于)
- Hull physics lecture series
- the basics of MRI
- MRI tutor (页面存档备份,存于)
- Cardiac MRI technical primer (页面存档备份,存于)
