吸收不良
吸收不良(英語:)是由胃肠道对食物营养素的吸收异常引起的一种状态。根据异常情况,损害可以是单一或多种营养素。可能导致营养不良和各种贫血。[1]
| 吸收不良 | |
|---|---|
![]() | |
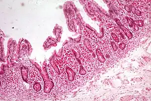
| 惠普尔病:阿尔辛蓝伴明显的伊红复染扩大绒毛和许多巨噬细胞 | |
| 併發症 | 营养不良、贫血、脂肪便、腹泻 |
| 肇因 | 乳糜泻、短肠综合征、乳糖酶缺乏症、胰腺外分泌功能不全、小肠细菌过度生长、惠普尔病、遗传病、药物 |
| 治療 | 取决于病因 |
| 分类和外部资源 | |
| 醫學專科 | 胃肠学 |
| ICD-11 | DA96.0 |
| ICD-10 | K90 |
| DiseasesDB | 7698 |
| MedlinePlus | 000299 |
| eMedicine | 180785 |
正常情况下,人体胃肠道消化和吸收膳食营养素的效率非常高。一个成年人一天摄入的典型西方饮食包括大约100克脂肪、400克碳水化合物、100克蛋白质、2升液体,以及所需的钠、钾、氯化物、钙、维生素和其他元素。[2]唾液、胃、肠、肝和胰腺分泌物向肠道内容物中额外添加7-8升含蛋白质、脂质和电解质的液体。小肠和大肠将这种巨大的负荷减少到200克以下的粪便,其中含有少于8克的脂肪、1-2克的氮,以及少于20 mmol的Na+、K+、Cl-、HCO3-、Ca2+、或Mg2+。[3]
如果营养消化和吸收的复杂过程中涉及的许多步骤中的任何一个受到损害,则可能会出现肠道吸收不良。 如果异常涉及吸收过程中的一个步骤,如原发性乳糖酶缺乏症,或者如果疾病过程仅限于非常近端的小肠,则可能仅发生单一营养素的选择性吸收不良。当疾病过程广泛时,会出现多种膳食营养素的普遍吸收不良,从而干扰一些消化和吸收过程,如广泛累及小肠的乳糜泻。[1]
症状
胃肠道表现
根据导致吸收不良的疾病过程的性质及其程度,胃肠道症状可能从严重到轻微,甚至可能完全不存在。可能会出现腹泻、体重下降、气胀、腹胀、腹部痉挛和疼痛。虽然腹泻是一种常见的主诉,但大便的特征和频率可能会有很大差异,从每天10次以上的水样便到少于1次的大量油灰状大便,后者导致一些患者主诉便秘。另一方面,脂肪泻和全身吸收不良患者的粪便质量始终高于正常值,每天150-200克。在与粘膜炎症相关的疾病(如乳糜泻)中,未被吸收的营养素不仅会导致大便,而且还会增加粘膜液和电解质的分泌。此外,未被吸收的脂肪酸被结肠菌群转化为羟基脂肪酸,以及未被吸收的胆汁酸都会损害吸收,并诱导结肠分泌水和电解质,从而增加粪便量。体重减轻在严重肠道吸收不良的患者中很常见,必须在热量摄入的背景下进行评估。一些患者通过显著增加口腔摄入来弥补粪便中未被吸收的营养物质的浪费因此,从疑似吸收不良的患者中仔细了解饮食史至关重要。过多的胀气和腹胀可能反映了由于未吸收碳水化合物的发酵而产生的过量气体,尤其是在原发性或继发性双糖酶缺乏的患者中,如乳糖不耐受或蔗糖不耐受。饮食营养吸收不良和炎症小肠分泌过多液体也会导致腹胀和腸胀。在与肠道吸收不良相关的各种疾病过程中,腹痛的患病率、严重程度和特征差异很大。例如,疼痛在慢性胰腺炎或胰腺癌和克罗恩病患者中常见,但在许多腹腔疾病或胃切除术后吸收不良的患者中不存在。[1]
肠外表现
大量肠道吸收不良患者最初表现为症状或实验室异常,这些症状或实验室异常指向其他器官系统,但不存在或掩盖与胃肠道相关的症状。越来越多的流行病学证据表明,越来越多的乳糜泻患者在没有明显典型胃肠道症状的情况下出现贫血和骨量减少。微细胞性、大细胞性或二形性贫血可能反映铁、叶酸或维生素B12吸收受损。紫癜、结膜下出血,甚至明显出血可能反映维生素K吸收不良继发的低凝血酶原血症。骨量减少很常见,尤其是在存在脂肪泻的情况下。钙和维生素D吸收受损以及未被吸收的脂肪酸对钙的螯合作用导致粪便中钙的流失都可能是原因之一。如果长期缺钙,可能会发展为继发性甲状旁腺功能亢进。长期营养不良可能导致闭经、不孕和阳萎。水肿甚至腹水可能反映与淋巴阻塞或广泛的粘膜炎症引起的蛋白丢失性肠病相关的低蛋白血症。皮炎和周围神经病变可能由特定维生素或微量营养素和必需脂肪酸的吸收不良引起。[4]
参考文献
- . MedlinePlus. National Library of Medicine. [2022-07-13]. (原始内容存档于2022-07-16) (美国英语).
- Cordain, Loren; Eaton, S. Boyd; Sebastian, Anthony; Mann, Neil; Lindeberg, Staffan; Watkins, Bruce A.; O'Keefe, James H.; Brand-Miller, Janette. . The American Journal of Clinical Nutrition. 2005-02, 81 (2) [2022-07-13]. ISSN 0002-9165. PMID 15699220. doi:10.1093/ajcn.81.2.341. (原始内容存档于2010-09-17).
- Montoro-Huguet, Miguel A.; Belloc, Blanca; Domínguez-Cajal, Manuel. . Nutrients. 2021-04-11, 13 (4) [2022-07-13]. ISSN 2072-6643. PMC 8070135
. PMID 33920345. doi:10.3390/nu13041254. (原始内容存档于2022-07-19). - Fine, K. D.; Schiller, L. R. . Gastroenterology. 1999-06, 116 (6). ISSN 0016-5085. PMID 10348832. doi:10.1016/s0016-5085(99)70513-5.
