過敏性紫斑症
類過敏性紫斑()又名Henoch-Schönlein紫斑(Henoch-Schönlein purpura),是一種兒童多發的、主要波及小血管的血管炎,常見臨床表現包括紫斑、消化道表現、關節痛和腎損傷。
病理機轉
过敏原刺激机体产生抗体;过敏原再次进入体内时与IgA等抗体结合形成免疫复合物沉积于皮肤、消化道、关节腔、肾脏等全身多部位的小血管处,继而激活补体,引起血管炎症反应,导致血管脆性和通透性增加。
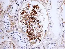
紫癜处皮肤活检可见IgA沉积于血管壁,并见白细胞破裂性血管炎。

累及消化道粘膜、腹膜层的毛细血管炎可以引发腹痛、腹肌紧张、消化道出血等。肠壁水肿、蠕动增强,可有腹泻、肠鸣音亢进,严重者还可诱发肠套叠。
肾小球的毛细血管炎可引起急性肾炎综合征,严重者可出现新月体形成;还有少数病例反复发作,迁延为慢性肾炎综合征或肾病综合征。

常见的过敏原有:
- 病原体
- 细菌:主要为β溶血性链球菌。
- 病毒:如麻疹、水痘、风疹等呼吸道传播的发疹性病毒。
- 寄生虫:以蛔虫最多见。
- 食物
- 药物
- 疫苗
- 其它:如花粉、尘埃、虫咬等。
临床表现
多数患者先有全身不适、乏力、低热等前驱症状,1~3周后出现典型临床表现。依主要累及部位,可分为若干型。
单纯型
也叫紫斑型。仅有紫斑。特点是:
- 躯干极少,主要局限于四肢,尤其是下肢伸侧及臀部。
- 对称分布,分批出现。
- 大小不等,略高出皮面,可以融合,经1~2周后逐渐消退。
- 可伴发皮肤水肿、荨麻疹、皮肤坏死。
腹型
也叫Henoch型。与紫癜同时,或者紫癜后1~7天出现腹部表现,包括:
- 恶心、呕吐、腹泻、粘液便、肠鸣音亢进。
- 消化道出血:呕血、黑便、便血。
- 腹痛:最常见,多为脐周、下腹部或全腹部的阵发性绞痛,可有压痛,但多无腹肌紧张。有腹肌紧张者容易误诊为外科急腹症。
- 儿童常见肠套叠。偶见肠穿孔、肠坏死。
- 偶有腹部表现早于紫斑。
关节型
也叫Schönlein型。在紫斑的基础上出现游走性、反复性发作的关节肿痛、压痛及活动障碍。多累及踝、膝、肘、腕等大关节。数日后自愈,不遗留关节畸形。
肾型
本病最严重的表现。在紫斑出现后的1~8周出现。可呈急性肾炎综合征、急进性肾炎综合征、肾病综合征表现,亦可演变为慢性过程,部分病例可出现肾衰竭或终末期肾病。
混合型
在紫斑的基础上合并上述两种以上临床表现。
实验室检查
血小板计数、凝血功能均无明显异常。如有肾脏受累,可见尿常规、肾功能异常。
诊断
本病临床经过具有特征性,多数儿科病例可凭典型临床表现获得临床诊断。对成人病例,如能完成皮肤活检则更能确定诊断。所有肾功能持续恶化的患者,尽量完成肾活检,以便评估预后。
治疗
基本上是对症治疗,除去除诱因外。主要对症药物为皮质激素,抗组织胺药、钙剂、大剂量维生素C、止血药等可作为辅助治疗手段。
- 去除诱因:停用可疑药物;避免接触致敏食物;抗细菌感染、抗寄生虫感染等。
- 皮质激素:强的松30mg Qd起,如1周内皮疹无好转,可以加量至40~60mg Qd。病情严重者可静脉应用。一般认为,皮质激素只能改善症状,无法改变疾病病程。
- 抗组织胺药
- 维生素C:5~10g/d,静脉滴注,持续1周。
- 止血药:安络血、酚磺乙胺等。如有肾脏病变,抗纤溶药应慎用。
- 肾脏病变严重者,按急性肾炎综合征、急进性肾炎综合征、肾病综合征等相应类型加用免疫抑制剂、抗凝药等。
预后
多为自限性,一般6周内自愈;单纯型及关节型恢复较快;多数预后,少数迁延数年。部分肾型患者有可能发展为慢性,甚至进展到终末期肾病。
参考文献
- Anthony S. Fauci; Eugene Braunwald; Dennis L. Kasper. . US: McGraw-Hill Professional. 2008. ISBN 978-0071466332.
- 陆再英; 钟南山. . 北京: 人民卫生出版社. 2008. ISBN 978-7-117-09652-2.
- 陈灏珠; 林果为. . 北京: 人民卫生出版社. 2009. ISBN 978-7-117-11864-4.
- Carmen E. Gota. . Merck Manual for Health Care Professionals. [2011-08-18]. (原始内容存档于2011-08-20) (英语).