薛氏點
薛氏点是一种由疟原虫引起的红细胞血液学病变[1], 薛氏点仅发现于被卵形瘧原蟲和間日瘧原蟲寄生的红细胞中。[2]
德国生物学家威廉·薛夫讷(德语:Wilhelm Schüffner)于1904年首次对其性状进行了描述,薛氏点也因此得名。[3]
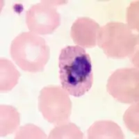
間日瘧原蟲会造成其感染的宿主红细胞的形态学发生改变,在通过光学显微镜观察使用罗氏染色法进行染色的血液涂片时可见多个砖红色的斑点,即为薛氏点。薛氏点对于鉴定疟原虫的种类非常重要。通过电子显微镜可以观察到,薛氏点与红细胞质膜上的囊泡复合体相锚定。[4]
参考文献
- . (原始内容存档于2018-09-06).
- . (原始内容存档于2016-03-03).
- . (原始内容存档于2012-09-22).
- Udagama, P. V.; Atkinson, C. T.; Peiris, J. S.; David, P. H.; Mendis, K. N.; Aikawa, M. . The American Journal of Pathology. 1988, 131 (1): 48–52. PMC 1880566
. PMID 3281470.
外部链接
This article is issued from Wikipedia. The text is licensed under Creative Commons - Attribution - Sharealike. Additional terms may apply for the media files.
