梭形细胞脂肪瘤
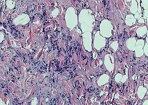
梭形细胞脂肪瘤(spindle cell lipoma)是一种无症状、生长缓慢的皮下肿瘤,多見於老年男性的背部、颈部和肩部。[1]:625[2]
| 梭形细胞脂肪瘤 | |
|---|---|
![]() | |
| 类型 | 脂肪瘤 |
| 分类和外部资源 | |
| ICD-11 | XH4E98 |
另見
参考文献
- James, William; Berger, Timothy; Elston, Dirk (2005). Andrews' Diseases of the Skin: Clinical Dermatology. (10th ed.). Saunders. ISBN 0-7216-2921-0.
- Rapini, Ronald P.; Bolognia, Jean L.; Jorizzo, Joseph L. . St. Louis: Mosby. 2007. ISBN 978-1-4160-2999-1.
外部链接
This article is issued from Wikipedia. The text is licensed under Creative Commons - Attribution - Sharealike. Additional terms may apply for the media files.
