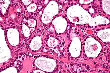
卵巢透明细胞癌
参考
- Chan JK, Teoh D, Hu JM, Shin JY, Osann K, Kapp DS. . Gynecol. Oncol. June 2008, 109 (3): 370–6 [2013-12-08]. PMID 18395777. doi:10.1016/j.ygyno.2008.02.006. (原始内容存档于2019-12-08).
外部链接
- Clear Cell Carcinoma of Ovary at University of Connecticut Health Center
This article is issued from Wikipedia. The text is licensed under Creative Commons - Attribution - Sharealike. Additional terms may apply for the media files.
