乳突状汗腺瘤
乳突状汗腺瘤(英語:),也成乳头状汗腺瘤(英語:),是一种界限清晰的乳腺组织异位肿瘤,经常发现于大阴唇。
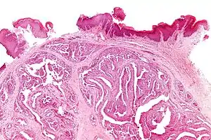
| 乳突状汗腺瘤 | |
|---|---|
![]() | |
| 显微镜下的乳突状汗腺瘤 | |
| 类型 | 单纯性汗腺棘皮瘤[*] |
| 分类和外部资源 | |
| 醫學專科 | 婦科學、皮肤病学 |
| ICD-11 | XH4DX4 |
| ICD-O | 8405/0 |
它通常为原发性肿瘤(非癌症性),但是因为其倾向于溃烂,常被诊断为外阴癌。从组织结构学角度,它通常被定义为与乳腺管内乳头状瘤一类的疾病[1]。
圖片
中度顯示影像
極高度顯示影像
相关
- 单纯性汗腺棘皮瘤
- 皮肤病列表
参考
- Robbins and Cotran Pathologic Basis of Disease, 7th edition. The Female Genital Tract chapter 22, pg. 1067.
This article is issued from Wikipedia. The text is licensed under Creative Commons - Attribution - Sharealike. Additional terms may apply for the media files.
