乳房外柏哲德氏病
乳房外柏哲德氏病(英語:),是一类罕见的、进展缓慢的外阴恶性肿瘤,是非侵袭的、乳腺外上皮内恶性肿瘤,包括外阴柏哲德氏病和更罕见的阴茎柏哲德氏病[1]。
| 乳房外柏哲德氏病 | |
|---|---|
![]() | |
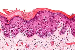
| 显微镜下的乳房外柏哲德氏病 | |
| 类型 | 腺癌 |
| 分类和外部资源 | |
| 醫學專科 | 肿瘤学、皮肤病学 |
| ICD-11 | XH70F8 |
| ICD-10 | C44 (ILDS C44.L75) |
| ICD-O | M8542/3 |
| OMIM | |
| MeSH | D010145 |
| Orphanet | 2800 |
分类
外阴柏哲德氏病,是一种罕见的疾病,可能是原生的,也可能是其他组织(比如巴氏腺、尿道、直肠)转移至外阴的恶性肿瘤,病人可能会趋向绝经后期。
阴茎柏哲德氏病,可能是原发或继发的,比外阴柏哲德氏病更罕见,曾有被错误诊断为博文氏病的案例。孤立的阴茎柏哲德氏病极其罕见[1]。
病理学
1874年,詹姆斯·柏哲德()报告首例乳头的湿疹样癌病例。雷德克里夫·克罗克()在1889年报告了首例EMPD,为一位患者伴有阴茎和阴囊的皮肤损伤,被最终诊断为柏哲德氏病[2]。
相关
- 乳房柏哲德氏病
参考
- Ekwueme, Kingsley C; Zakhour, Hani D; Parr, Nigel J. . Journal of Medical Case Reports. 2009-12, 3 (1) [2022-07-28]. ISSN 1752-1947. PMC 2628937
. PMID 19126202. doi:10.1186/1752-1947-3-4. (原始内容存档于2022-07-28) (英语). (页面存档备份,存于) - Marques-Costa, Juliana Corrêa; Cuzzi, Tullia; Carneiro, Sueli; Parish, Lawrence Charles; Ramos-e-Silva, Marcia. . Skinmed. 2012-05, 10 (3) [2022-07-28]. ISSN 1540-9740. PMID 22779098. (原始内容存档于2022-03-29). (页面存档备份,存于)
- Chanda, Joseph J. . Journal of the American Academy of Dermatology. 1985-12-01, 13 (6). ISSN 0190-9622. doi:10.1016/S0190-9622(85)70254-X (英语).
外部链接
- Definition at cancer.org
This article is issued from Wikipedia. The text is licensed under Creative Commons - Attribution - Sharealike. Additional terms may apply for the media files.
