乳头状浆液性囊腺癌
乳头状浆液性囊腺癌、乳突浆液性囊腺癌(),是一类常见的恶性卵巢癌,占美国20岁以上女性卵巢肿瘤患者的26%[1]。
| 乳头状浆液性囊腺癌 | |
|---|---|
![]() | |
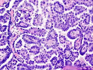
| 乳头状浆液性囊腺癌中型切片,使用苏木精和曙红染色 | |
| 类型 | 卵巢浆液性囊腺瘤、papillary serous cystadenoma[*] |
| 分类和外部资源 | |
| 醫學專科 | 肿瘤学 |
| ICD-10 | C56 |
| ICD-9-CM | 183.0 |
| ICD-O | M8460/3 |
| MeSH | D000231 |
在绝大多数病例中,由于早期症状不明显,其发现时肿瘤往往已经很大,并进入恶性肿瘤期,侵入腹膜[2]。乳头状浆液性囊腺癌通常在组织学下呈现砂粒体[3]。
参考
- Kosary, Carol L. . Ries, LAG; Young, JL; Keel, GE; Eisner, MP; Lin, YD; Horner, M-J (编). . SEER Program. NIH Pub. No. 07-6215. Bethesda, MD: National Cancer Institute. 2007: 133–144 [2013-12-08]. (原始内容存档于2013-10-10). (页面存档备份,存于)
- . The University of Utah Eccles Health Sciences Library. [2009-06-27]. (原始内容存档于2018-06-20). (页面存档备份,存于)
- Ovarian papillary serous cystadenocarcinoma (页面存档备份,存于) at WebPath (页面存档备份,存于), The Internet Pathology Laboratory for Medical Education at Mercer University School of Medicine. Retrieved July 2011
This article is issued from Wikipedia. The text is licensed under Creative Commons - Attribution - Sharealike. Additional terms may apply for the media files.
.jpg.webp)